Imagens iniciais
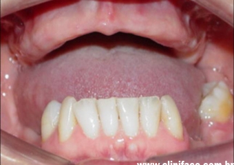
Imagem inicial
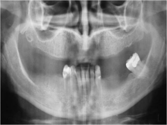
Raio X inicial
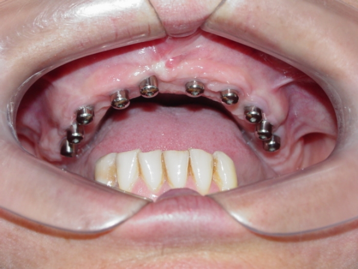
Implantes instalados com cicatrizadores
Raio X final
Prótese fixa em porcelana instalada sobre os implantes
Sorriso final do caso terminado em julho de 2009
Imagem final
Raio X de controle, 24 meses após instalação das próteses fixas sobre implantes