CASOS CLÍNICOS - Implantes Hexagono Externo - Reabilitação Total com Implantes e Prótese em Porcelana - Porcelana Caracterizada


Caso 11 - Prótese Fixa em Porcelana

Clique nas imagens para ampliar

Imagem inicial em 2003 - Clínica Cliniface

Imagem inicial em 2003

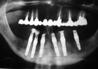
Imagem implantes inferiores em 2006 - Clínica Cliniface

Imagem implantes inferiores em 2006

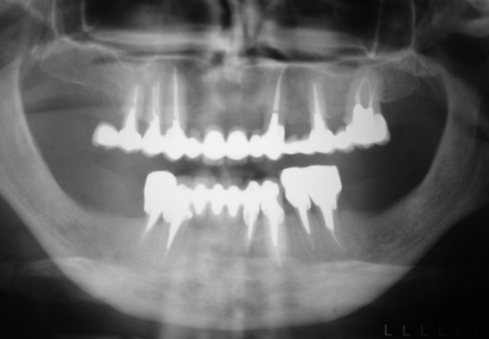
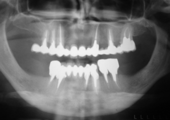
Imagem implantes Superiores em 2009 - Clínica Cliniface

Imagem implantes Superiores em 2009

Prótese Provisória Fixa Inferior em 2009  - Clínica Cliniface

Prótese Provisória Fixa Inferior em 2009

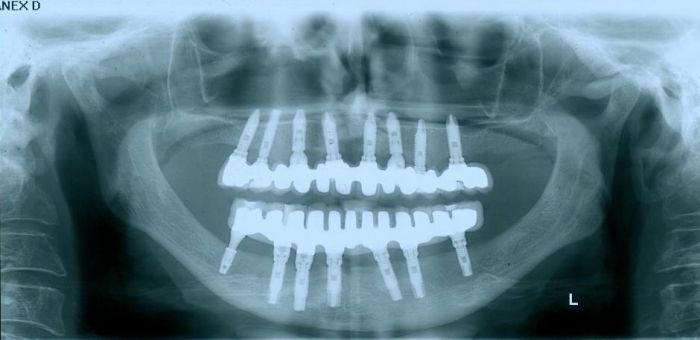
Imagem Próteses Provisórias Fixas Superior e Inferior , em 2011 - Clínica Cliniface

Imagem Próteses Provisórias Fixas Superior e Inferior , em 2011

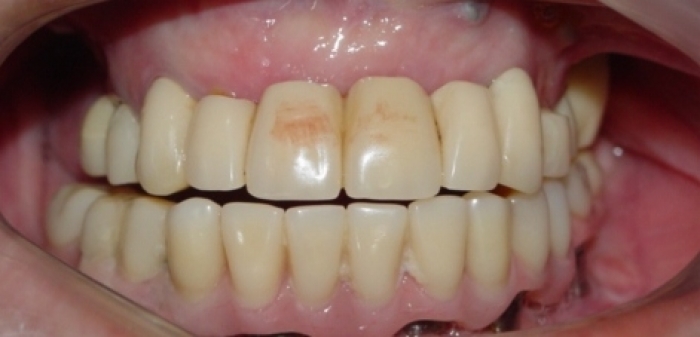
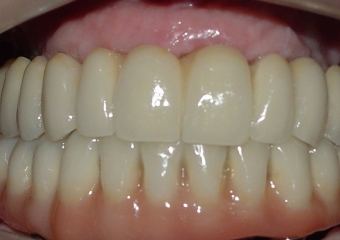
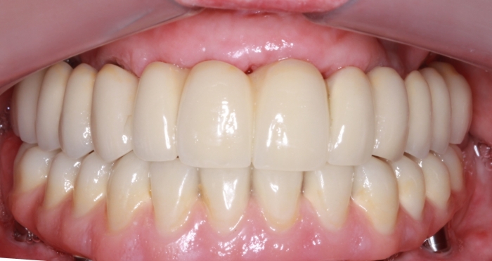
Próteses Fixas Definitivas em Porcelana, em 2013 - Clínica Cliniface

Próteses Fixas Definitivas em Porcelana, em 2013

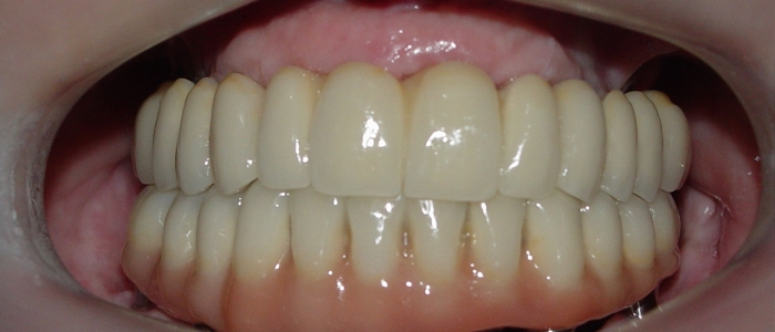
Imagem Próteses Fixas Definitivas Superior e Inferior, em 2013 - Clínica Cliniface

Imagem Próteses Fixas Definitivas Superior e Inferior, em 2013

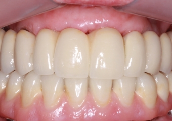
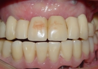
Controle do paciente, em 2016 - Clínica Cliniface

Controle do paciente, em 2016



Praça da Bíblia, 3336 | Edf. Cemed - Sala 601 | Umuarama - Pr | 44 3622-6161