CASOS CLÍNICOS - Implantes Hexagono Externo - Reabilitação Total com Implantes e Prótese em Porcelana - Porcelana Caracterizada


Caso 3 - Prótese Fixa em Porcelana

Clique nas imagens para ampliar

Imagem perfil inicial - Clínica Cliniface

Imagem perfil inicial

Imagem perfil após instalação da fixa provisória - Clínica Cliniface

Imagem perfil após instalação da fixa provisória

Imagem intra oral inicial - Clínica Cliniface

Imagem intra oral inicial

Raio X após instalação dos implantes - Clínica Cliniface

Raio X após instalação dos implantes

Imagens com prótese provisória fixa sobre implantes - Clínica Cliniface

Imagens com prótese provisória fixa sobre implantes

Raio X final, com as próteses em porcelana já instaladas - Clínica Cliniface

Raio X final, com as próteses em porcelana já instaladas

Próteses fixas em porcelana sobre implantes - Clínica Cliniface

Próteses fixas em porcelana sobre implantes

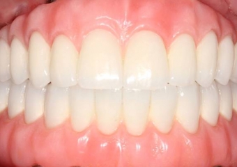
Sorriso final do caso terminado em Dezembro de 2011 - Clínica Cliniface

Sorriso final do caso terminado em Dezembro de 2011

Raio X de controle, realizado em Abril de 2013 - Clínica Cliniface

Raio X de controle, realizado em Abril de 2013



Praça da Bíblia, 3336 | Edf. Cemed - Sala 601 | Umuarama - Pr | 44 3622-6161