Agende um horário
Clique nas imagens para ampliar
Perfil inicial
Perfil final
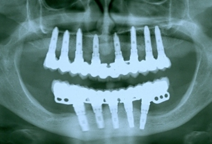
Raio X inicial
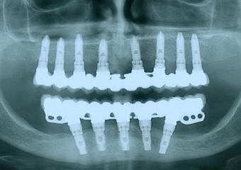
Raio X final
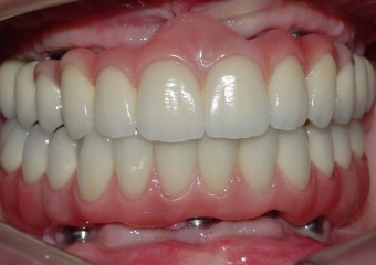
Imagens finais do caso terminado em agosto de 2010
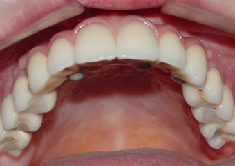
Imagem inicial
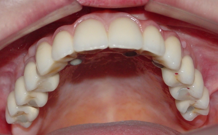
Sorriso final
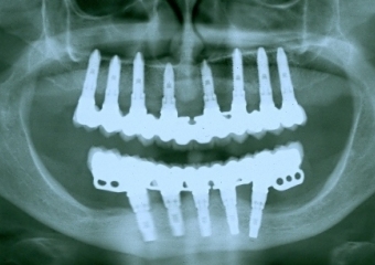
Raio X de 24 meses de controle
Praça da Bíblia, 3336 | Edf. Cemed - Sala 601 | Umuarama - Pr | 44 3622-6161