Agende um horário
Clique nas imagens para ampliar
Imagem perfil inicial
Imagem perfil final
Raio X inicial
Raio X final
Imagem inicial
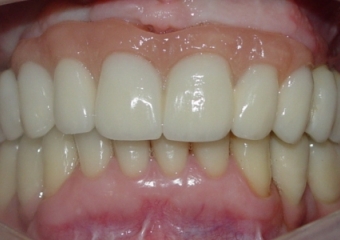
Prótese fixa instalada sobre implantes
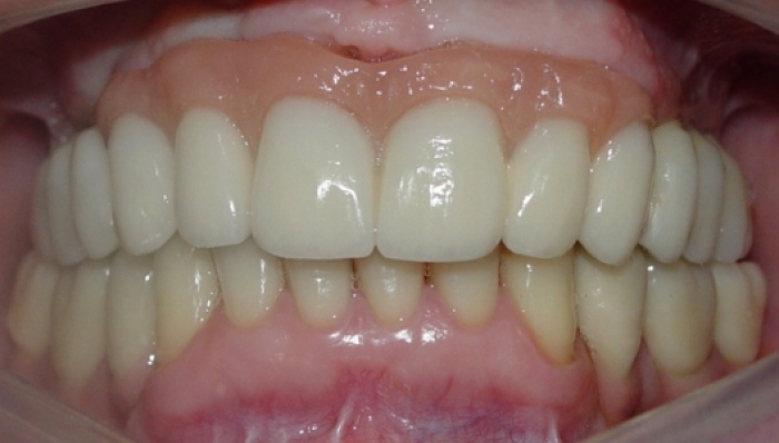
Sorriso do caso finalizado em novembro de 2010
Praça da Bíblia, 3336 | Edf. Cemed - Sala 601 | Umuarama - Pr | 44 3622-6161