Agende um horário
Clique nas imagens para ampliar
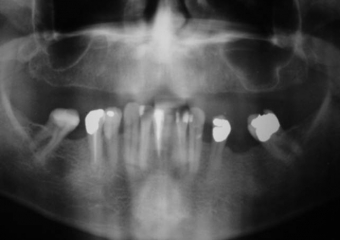
Raio X inicial
Imagem após enxerto ósseo na maxila
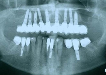
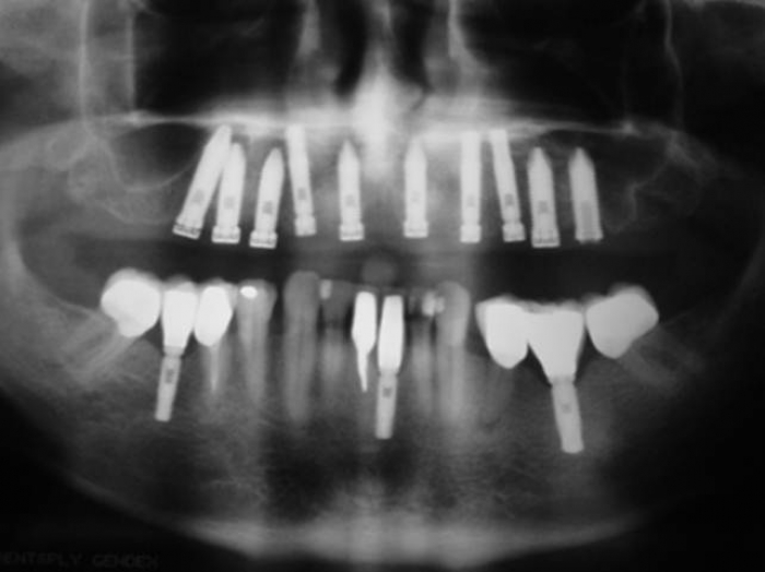
Raio X dos implantes
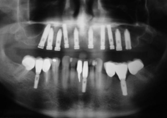
Raio X da prótese fixa em porcelana superior
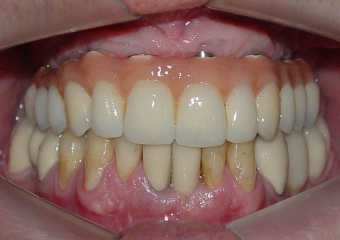
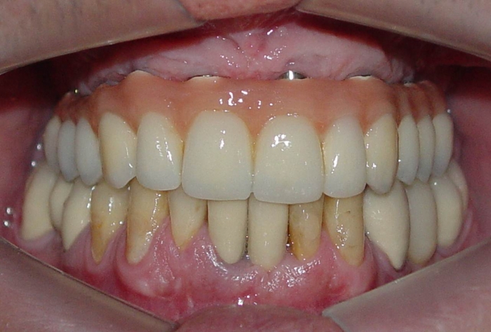
Prótese fixa em porcelana superior
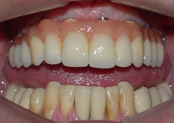
Sorriso do caso terminado em abril de 2012
Praça da Bíblia, 3336 | Edf. Cemed - Sala 601 | Umuarama - Pr | 44 3622-6161