Agende um horário
Clique nas imagens para ampliar
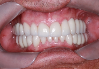
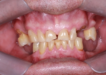
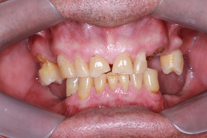
Inicial Frontal
Sorriso Inicial
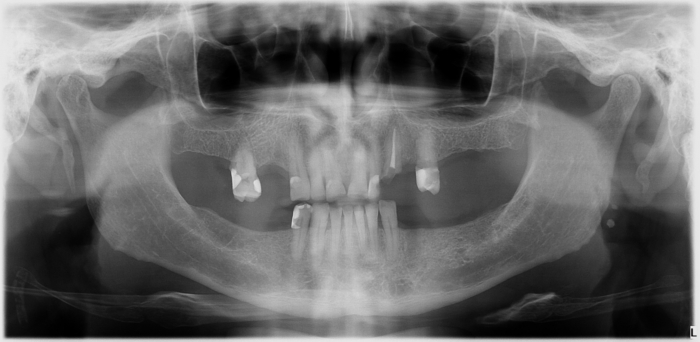
Rx Inicial
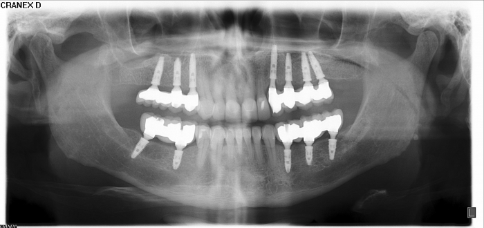
Rx Final - levantamento de seio bilateral - implantes
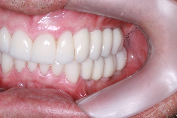
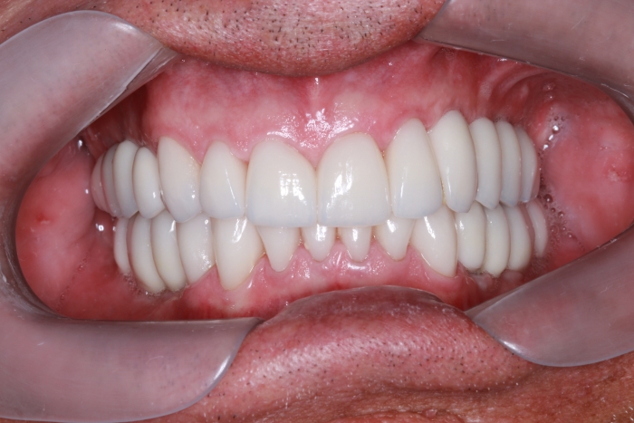
Facetas e dentes em porcelana sobre implantes
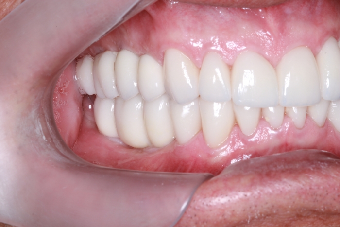
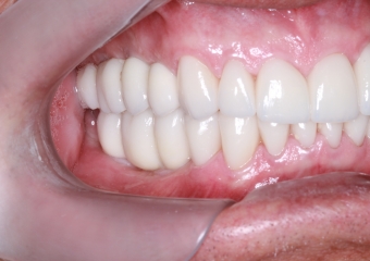
Intra oral direita final
Intra oral esquerda final
Sorriso Final 2018
Praça da Bíblia, 3336 | Edf. Cemed - Sala 601 | Umuarama - Pr | 44 3622-6161