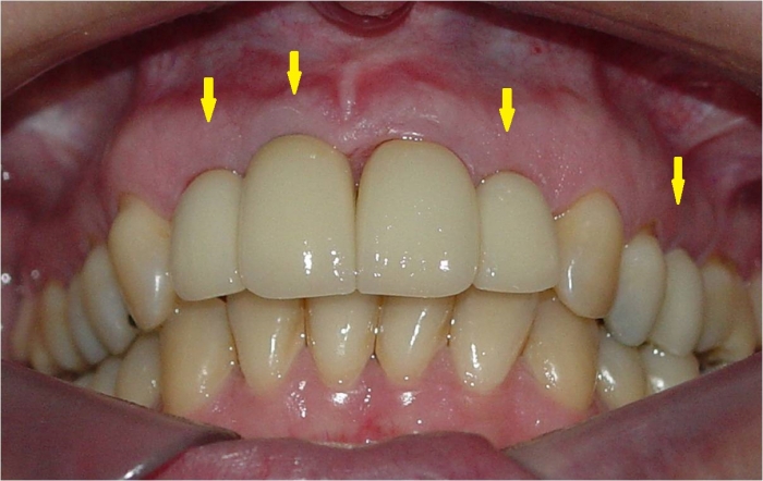
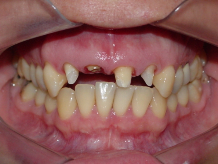
Imagens iniciais com dentes 11 e 25 comprometidos
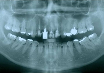
Raio X inicial
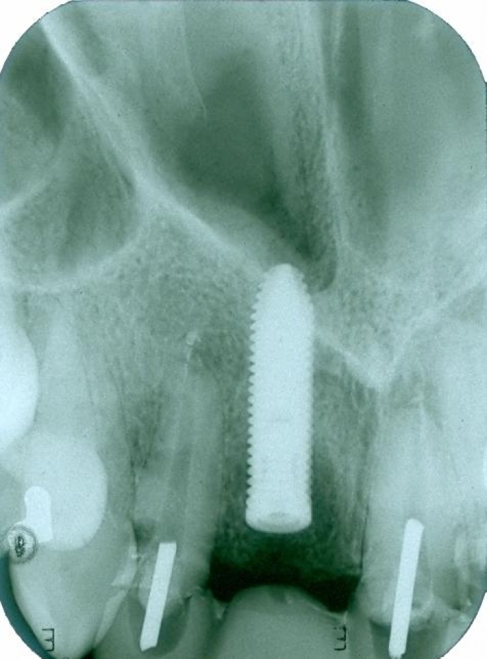
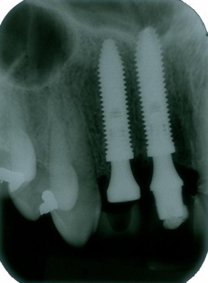
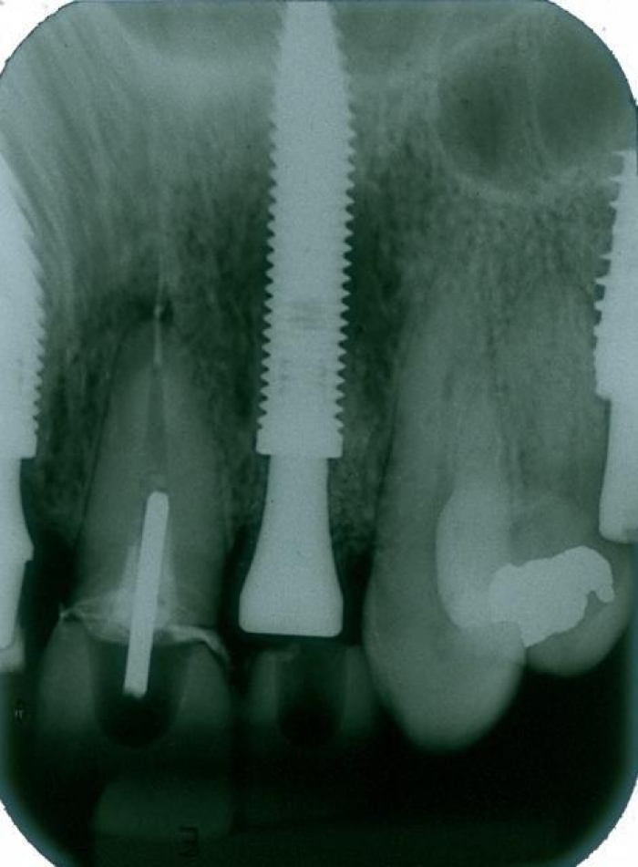
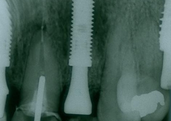
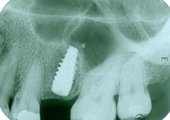
Rx dos implantes Cone Morse instalados
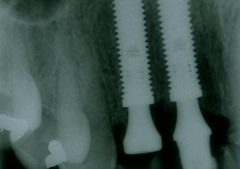
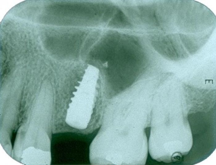
Rx após extração e implantes imediatos nos dentes 12 e 22
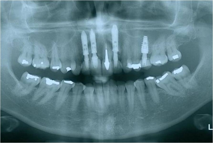
Raio X final
Dentes individuais em porcelana
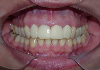
Sorriso final, do caso terminado em abril de 2013