Agende um horário
Clique nas imagens para ampliar
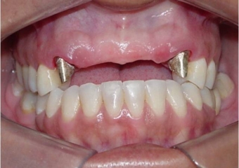
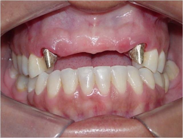
Imagem inicial
Raio x inicial
Raio x após enxerto ósseo
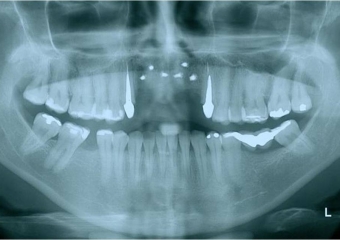
Raio x final
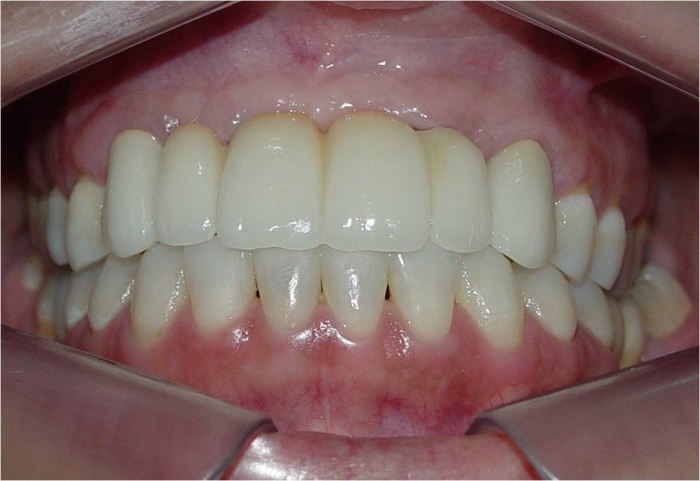
Imagem final
Próteses fixas em porcelana instaladas
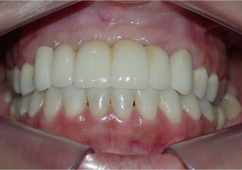
Sorriso final, do caso terminado em Novembro de 2013
Praça da Bíblia, 3336 | Edf. Cemed - Sala 601 | Umuarama - Pr | 44 3622-6161