CASOS CLÍNICOS - Implantes Cone Morse - Reabilitação Parcial com Implantes


Caso 11 - Reabilitação Parcial com implantes

Clique nas imagens para ampliar

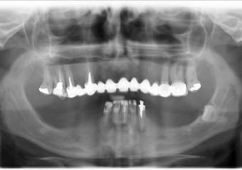
Raio -x inicial em 2014 - Clínica Cliniface

Raio -x inicial em 2014

Imagem inicial em 2014 - Clínica Cliniface

Imagem inicial em 2014

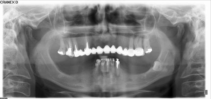
Raio - x com implantes inferiores em Junho de 2014  - Clínica Cliniface

Raio - x com implantes inferiores em Junho de 2014

Implantes inferiores e prótese provisória inferior em Junho de 2014 - Clínica Cliniface

Implantes inferiores e prótese provisória inferior em Junho de 2014

Enxerto ósseo maxila em Setembro de 2014 - Clínica Cliniface

Enxerto ósseo maxila em Setembro de 2014

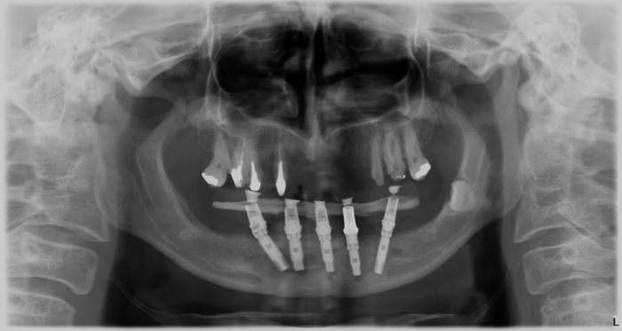
Raio-x Implantes Superiores em Julho de 2015 - Clínica Cliniface

Raio-x Implantes Superiores em Julho de 2015

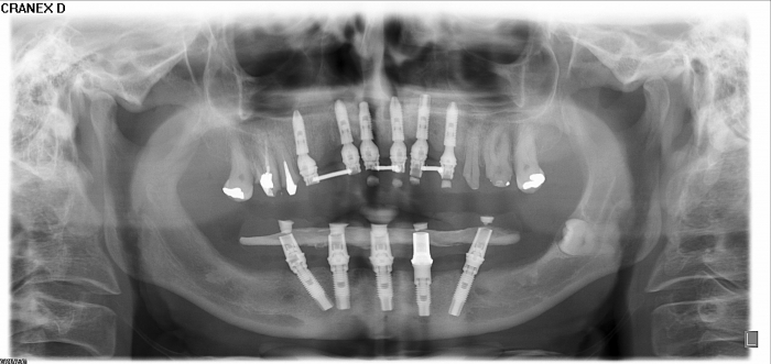
Raio - x Próteses Fixas provisórias em Fevereiro de 2016 - Clínica Cliniface

Raio - x Próteses Fixas provisórias em Fevereiro de 2016

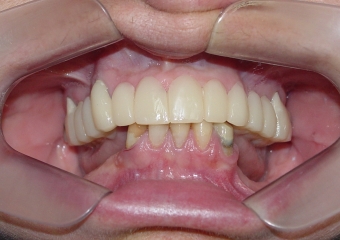
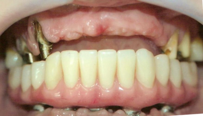
Próteses Fixas Provisórias em Setembro de 2015 - Clínica Cliniface

Próteses Fixas Provisórias em Setembro de 2015

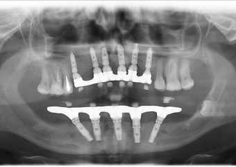
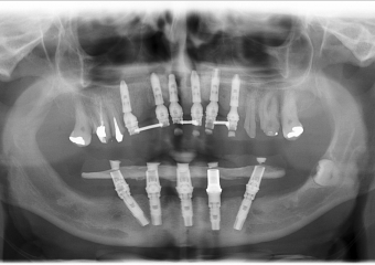
Raio - x Próteses Definitivas em Outubro de 2016  - Clínica Cliniface

Raio - x Próteses Definitivas em Outubro de 2016

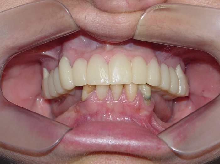
Próteses fixas definitivas em resina em Outubro de 2016 - Clínica Cliniface

Próteses fixas definitivas em resina em Outubro de 2016

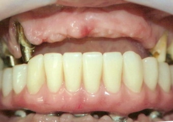
Sorriso inicial em 2014 - Clínica Cliniface

Sorriso inicial em 2014

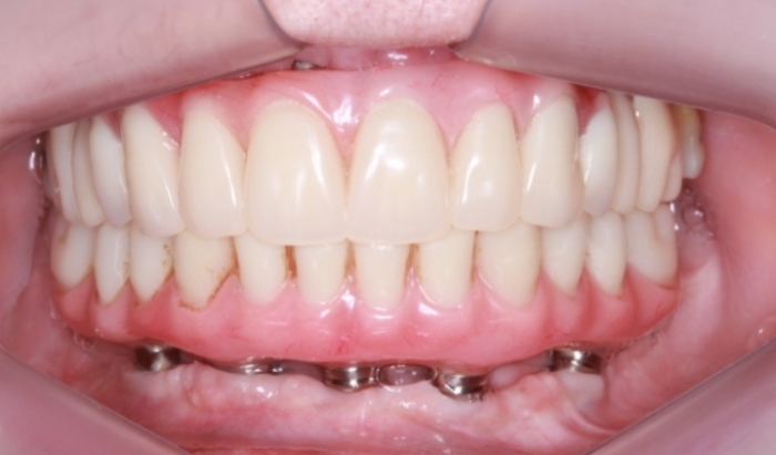
Sorriso Final em 2016 - Clínica Cliniface

Sorriso Final em 2016



Praça da Bíblia, 3336 | Edf. Cemed - Sala 601 | Umuarama - Pr | 44 3622-6161