CASOS CLÍNICOS - Implantes Cone Morse - Reabilitação Parcial com Implantes


Caso 12 - Reabilitação Parcial com implantes

Clique nas imagens para ampliar

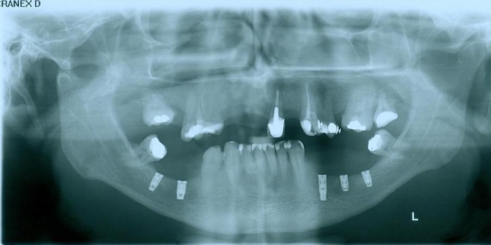
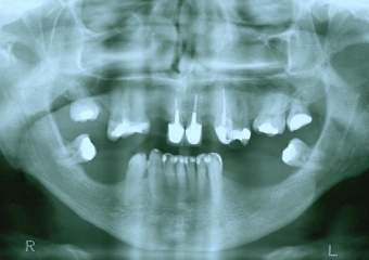
Raio - x inicial em 2009 - Clínica Cliniface

Raio - x inicial em 2009

Imagem inicial em 2009 - Clínica Cliniface

Imagem inicial em 2009

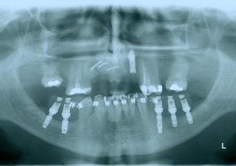
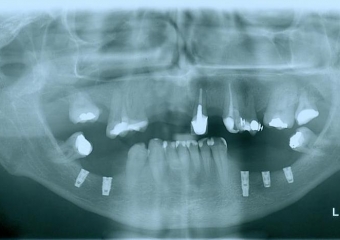
Raio - x implantes inferiores em Junho de 2011  - Clínica Cliniface

Raio - x implantes inferiores em Junho de 2011

Enxerto em maxila em Fevereiro de 2012 - Clínica Cliniface

Enxerto em maxila em Fevereiro de 2012

Provisórios Superior e Inferior em Março de 2013 - Clínica Cliniface

Provisórios Superior e Inferior em Março de 2013

Provisórios Superior e Inferior em Outubro de 2013 - Clínica Cliniface

Provisórios Superior e Inferior em Outubro de 2013

Provisórios em Janeiro de 2014 - Clínica Cliniface

Provisórios em Janeiro de 2014

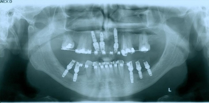
Próteses Fixas Definitivas Superior e Inferior em 2016 - Clínica Cliniface

Próteses Fixas Definitivas Superior e Inferior em 2016

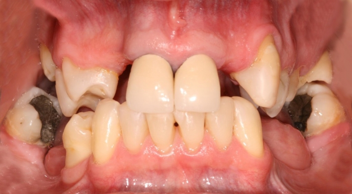
Sorriso inicial em 2009 - Clínica Cliniface

Sorriso inicial em 2009

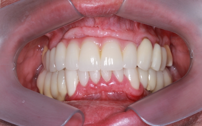
Sorriso Final em 2016 - Clínica Cliniface

Sorriso Final em 2016



Praça da Bíblia, 3336 | Edf. Cemed - Sala 601 | Umuarama - Pr | 44 3622-6161