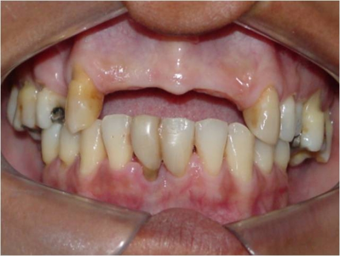
Imagem inicial
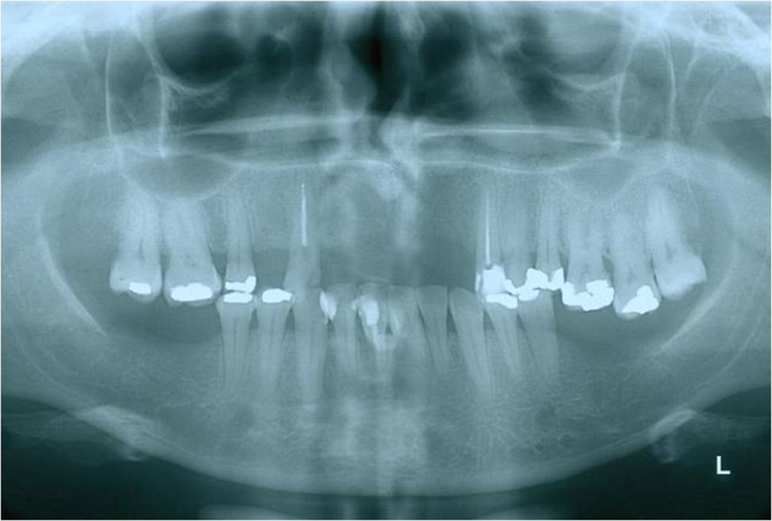
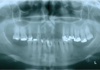
Raio x inicial
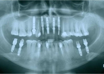
Raio x após enxerto ósseo e implantes
Raio x com próteses provisórias sobre implantes cone morse
Raio x final
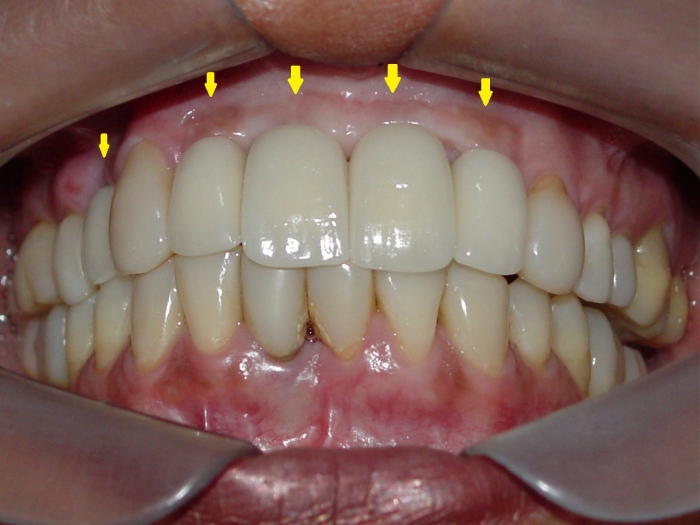
Dentes individuais sobre implantes, em porcelana pura
Imagem inicial
Imagem final
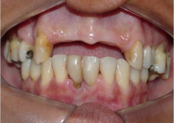
Sorriso inicial
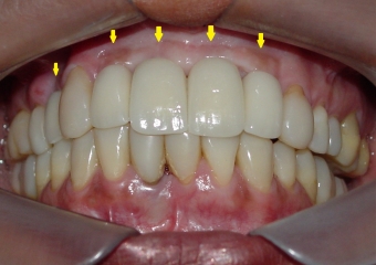
Sorriso final, do caso terminado em novembro de 2013