Agende um horário
Clique nas imagens para ampliar
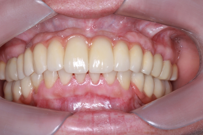
Imagem Final
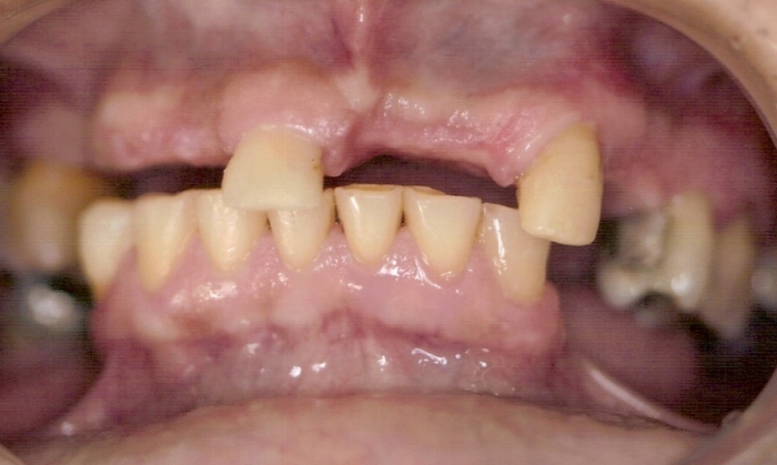
Imagem Inicial
Rx Final
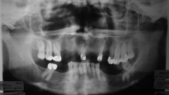
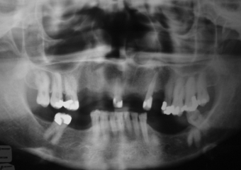
Rx Inicial
Sorriso Final
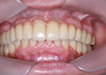
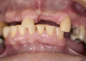
Sorriso Inicial
Praça da Bíblia, 3336 | Edf. Cemed - Sala 601 | Umuarama - Pr | 44 3622-6161