Imagem perfil inicial
Imagem perfil final
Imagem intra oral inicial
Próteses unitárias em porcelana sobre implantes
Raio X inicial
Raio X final
Sorriso inicial
Sorriso final do caso terminado em setembro de 2009
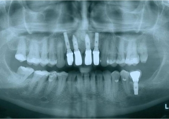
Raio X de controle, realizado em abril de 2013