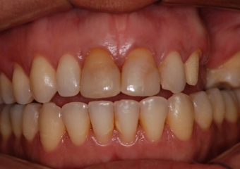
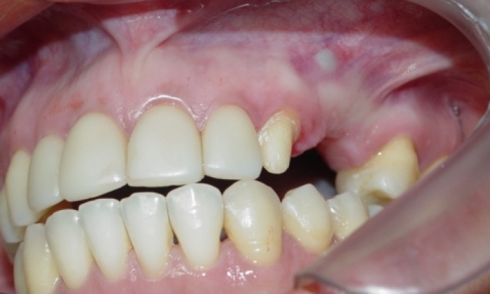
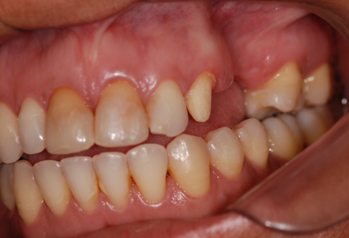
Imagens iniciais observando importante perda óssea e dentária superior
Rx mostrando a ausência de dois pré molares superiores
Imagens após o enxerto ósseo
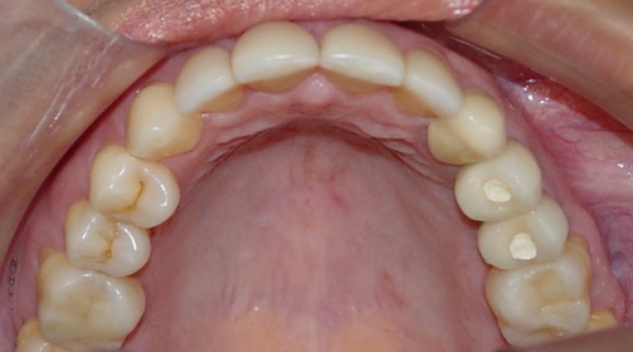
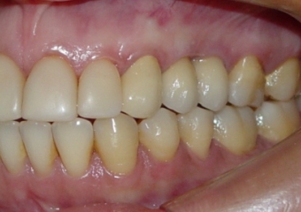
Próteses fixas de porcelana instaladas
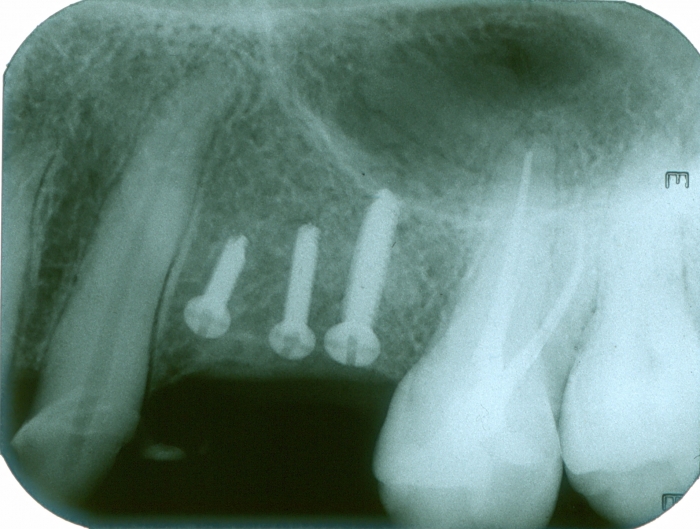
Raio X dos implantes instalados
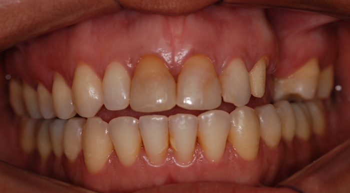
Imagem e sorriso final do caso terminado em junho de 2011
Raio X final