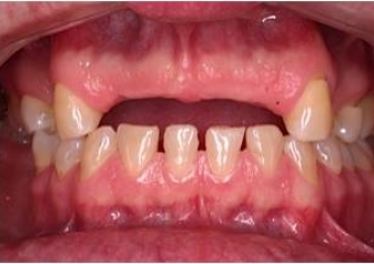
Imagem inicial
Imagem com próteses fixas individuais em porcelana instaladas
Raio X final
Sorriso final, do caso terminado em Novembro de 2012
Imagem após substituição das próteses de porcelana
Raio x após substituição das próteses de porcelana
Sorriso com as novas próteses em porcelana, terminado em Setembro de 2014