Agende um horário
Clique nas imagens para ampliar
Imagem Inicial
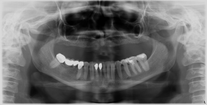
Raio-x Inicial
Raio - x Panorâmico Enxerto ósseo de crista iliáca
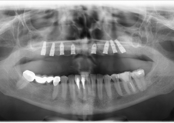
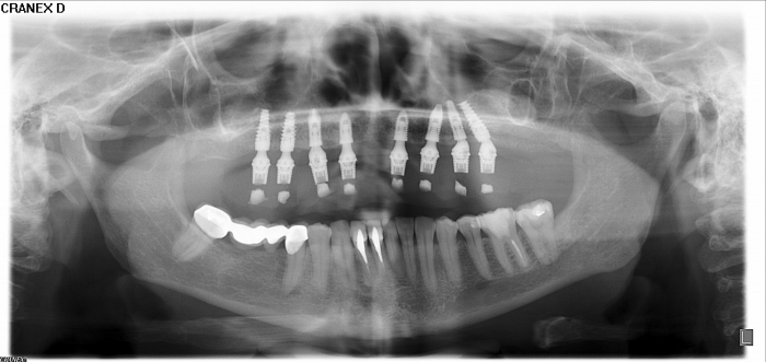
Raio - x Panorâmico Implantes
Prótese Provisória
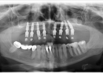
Raio-x Panorâmico com prótese provisória
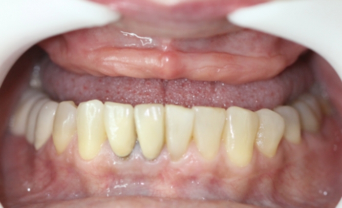
Sorriso Inicial
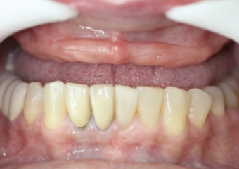
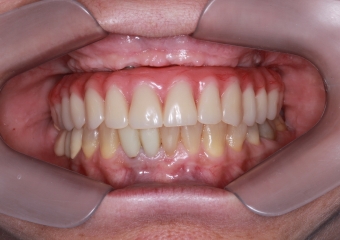
Sorriso Final com a prótese provisória
Praça da Bíblia, 3336 | Edf. Cemed - Sala 601 | Umuarama - Pr | 44 3622-6161