Agende um horário
Clique nas imagens para ampliar
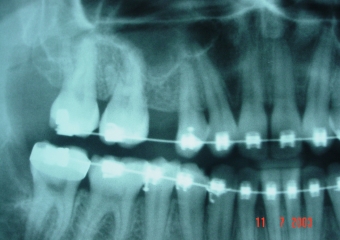
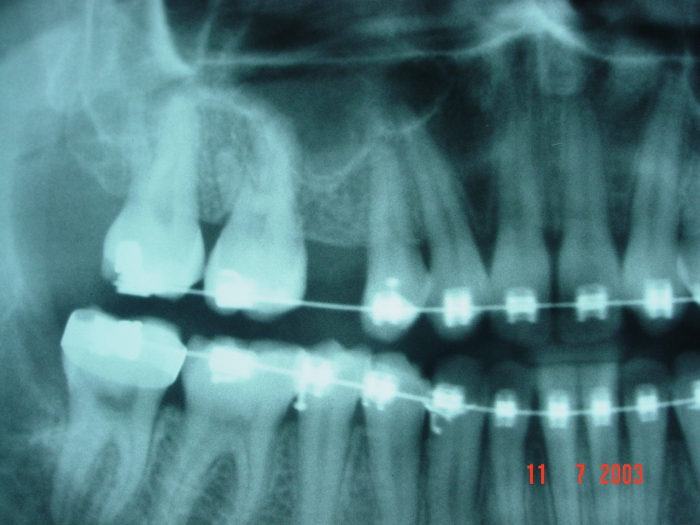
Raio X inicial
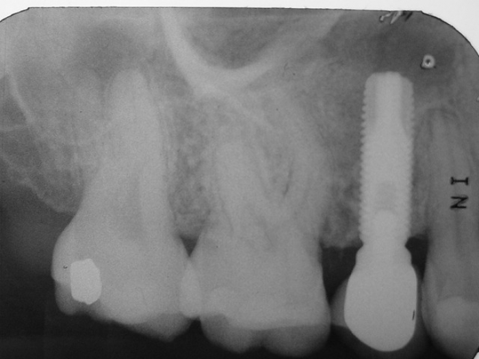
Raio X com Implante Instalado
Imagem Inicial - Implante Instalado
Imagem Final do caso terminado em dezembro de 2004.
Praça da Bíblia, 3336 | Edf. Cemed - Sala 601 | Umuarama - Pr | 44 3622-6161