Agende um horário
Clique nas imagens para ampliar
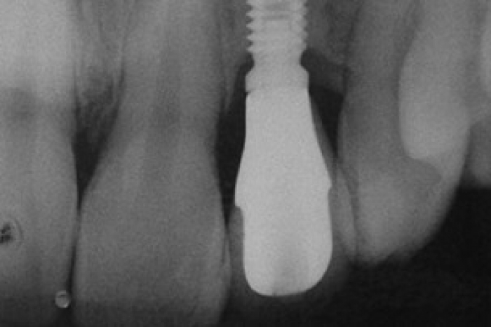
Imagens de implantes em incisivo lateral direito e esquerdo instalados
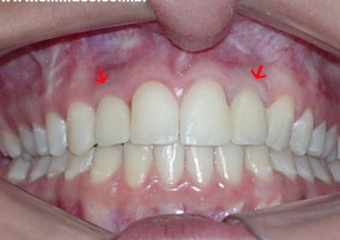
Imagem das próteses instaladas sobre os implantes
Imagem final do caso terminado em janeiro de 2008
Praça da Bíblia, 3336 | Edf. Cemed - Sala 601 | Umuarama - Pr | 44 3622-6161