Agende um horário
Clique nas imagens para ampliar
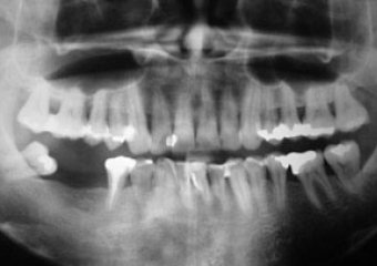
Raio X inicial
Raio X dos implantes instalados
Imagens com prótese fixa em porcelana sobre implantes do caso finalizado em janeiro de 2009
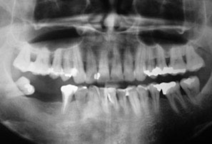
Raio X final
Praça da Bíblia, 3336 | Edf. Cemed - Sala 601 | Umuarama - Pr | 44 3622-6161