Agende um horário
Clique nas imagens para ampliar
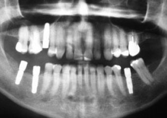
Raio X inicial
Raio X com implantes instalados
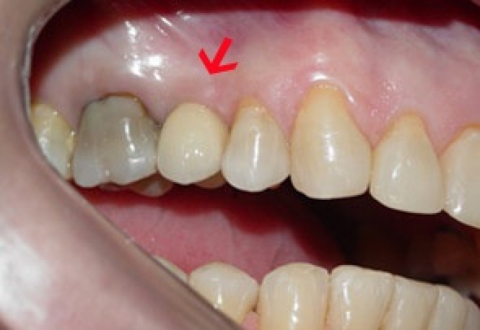
Próteses fixas sobre implantes instaladas
Prótese fixa sobre implante do caso terminado em fevereiro de 2009
Praça da Bíblia, 3336 | Edf. Cemed - Sala 601 | Umuarama - Pr | 44 3622-6161