Agende um horário
Clique nas imagens para ampliar
Raio X inicial
Raio X periapical inicial
Raio X após a extração do dente comprometido
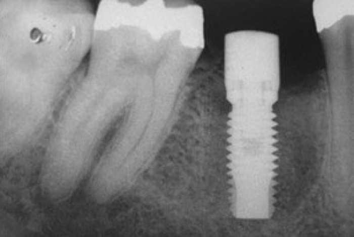
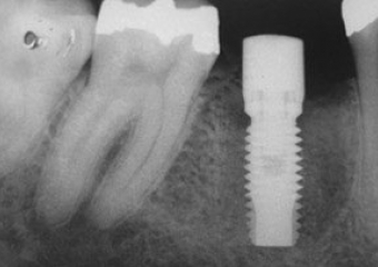
Raio X após a instalação do implante
Imagens finais com a prótese fixa em porcelana sobre implante do caso terminado em fevereiro de 2009
Praça da Bíblia, 3336 | Edf. Cemed - Sala 601 | Umuarama - Pr | 44 3622-6161