Agende um horário
Clique nas imagens para ampliar
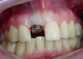
Imagem de um implante com cicatrizador e com o dente provisório removido.
Rx do implante com a prótese instalada.
Imagem final do caso terminado em setembro de 2006
Sorriso final
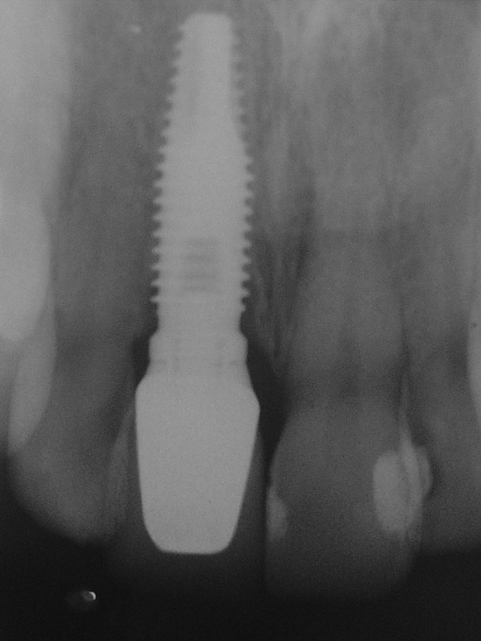
Raio X de controle realizado em agosto de 2013
Praça da Bíblia, 3336 | Edf. Cemed - Sala 601 | Umuarama - Pr | 44 3622-6161