Agende um horário
Clique nas imagens para ampliar
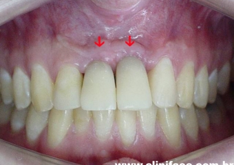
Dois implantes instalados, com cicatrizadores
Dentes provisórios instalados
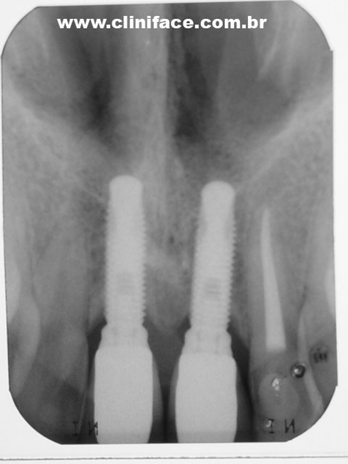
Raio X das próteses fixas em porcelana instaladas
Próteses em porcelana instaladas
Sorriso final do caso terminado em agosto de 2007
Praça da Bíblia, 3336 | Edf. Cemed - Sala 601 | Umuarama - Pr | 44 3622-6161