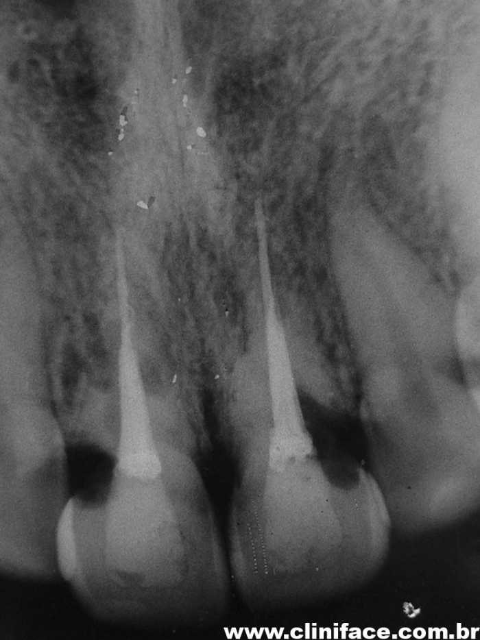
Reimplante dos dentes 11 e 21, após avulsão
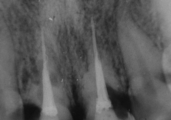
Reabsorção do 11 e 21, após 6 anos do reimplante
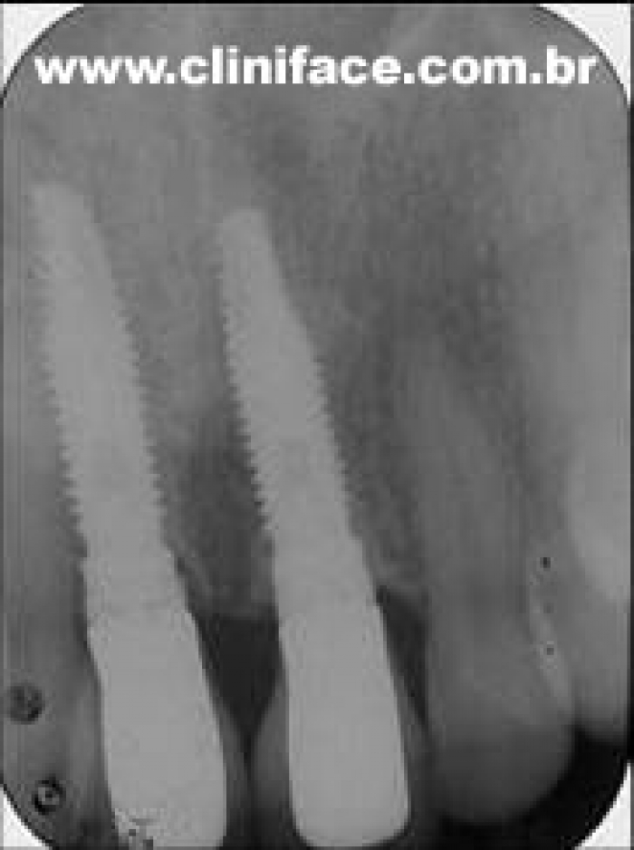
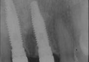
Rx após extração e implantes imediatos
Próteses provisórias imediatas nos elementos 11 e 21
Próteses finais em porcelana
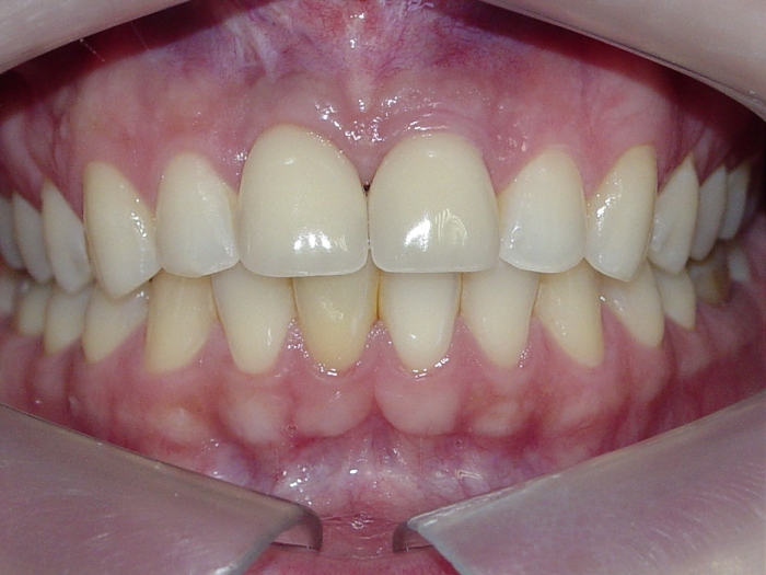
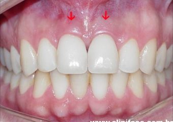
Sorriso final do caso terminado em julho de 2005
Raio X final
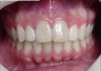
Controle do caso, realizada em janeiro de 2012.