Agende um horário
Clique nas imagens para ampliar
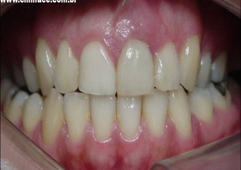
Sorriso inicial
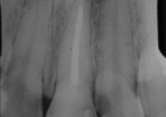
Dente 21 com fratura
Raio X inicial do dente 21 fraturado
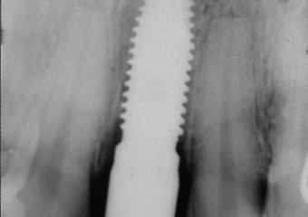
Raio X do implante instalado
Sorriso final do caso terminado em julho de 2009
Prótese fixa em porcelana instalada
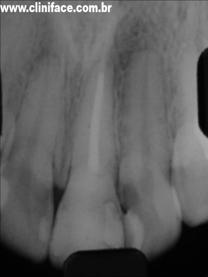
Raio X final
Praça da Bíblia, 3336 | Edf. Cemed - Sala 601 | Umuarama - Pr | 44 3622-6161