Agende um horário
Clique nas imagens para ampliar
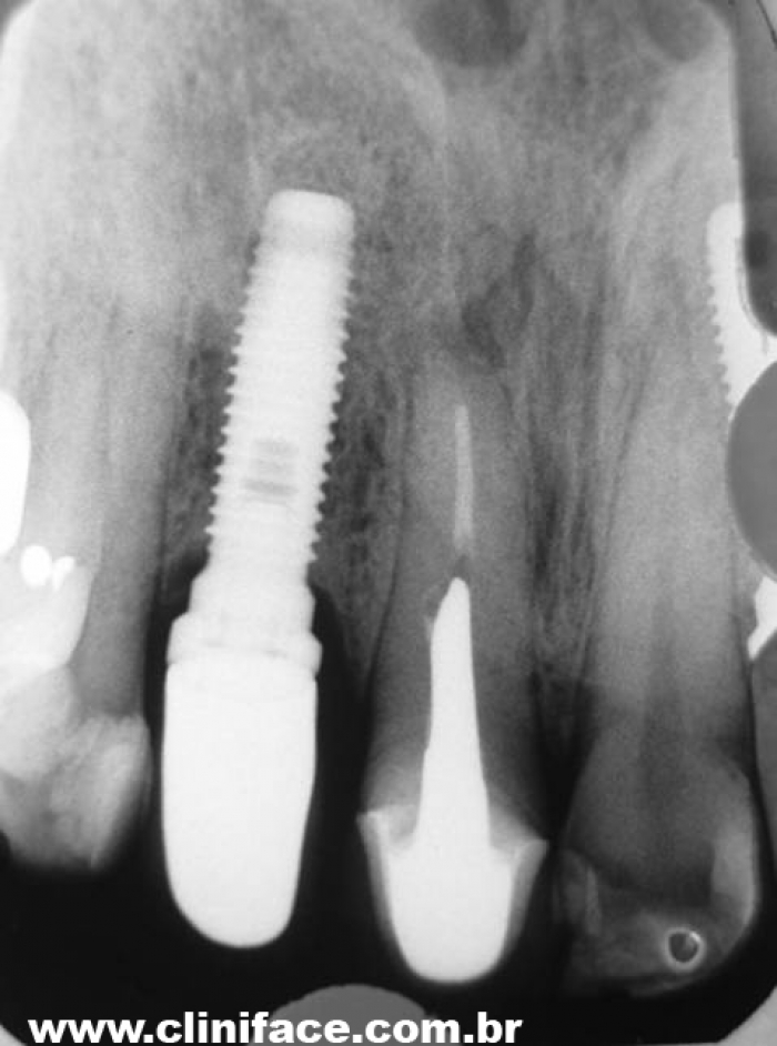
Rx atual (2009) de Implantes Nobel® e Próteses Instaladas nos elementos 12 e22, em 1998
Imagem atual (2009) das Próteses Sobre os Elementos 12 e 22, instalados em 1998
Praça da Bíblia, 3336 | Edf. Cemed - Sala 601 | Umuarama - Pr | 44 3622-6161