Agende um horário
Clique nas imagens para ampliar
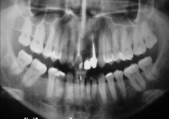
Rx inicial mostrando ausência do elemento 21
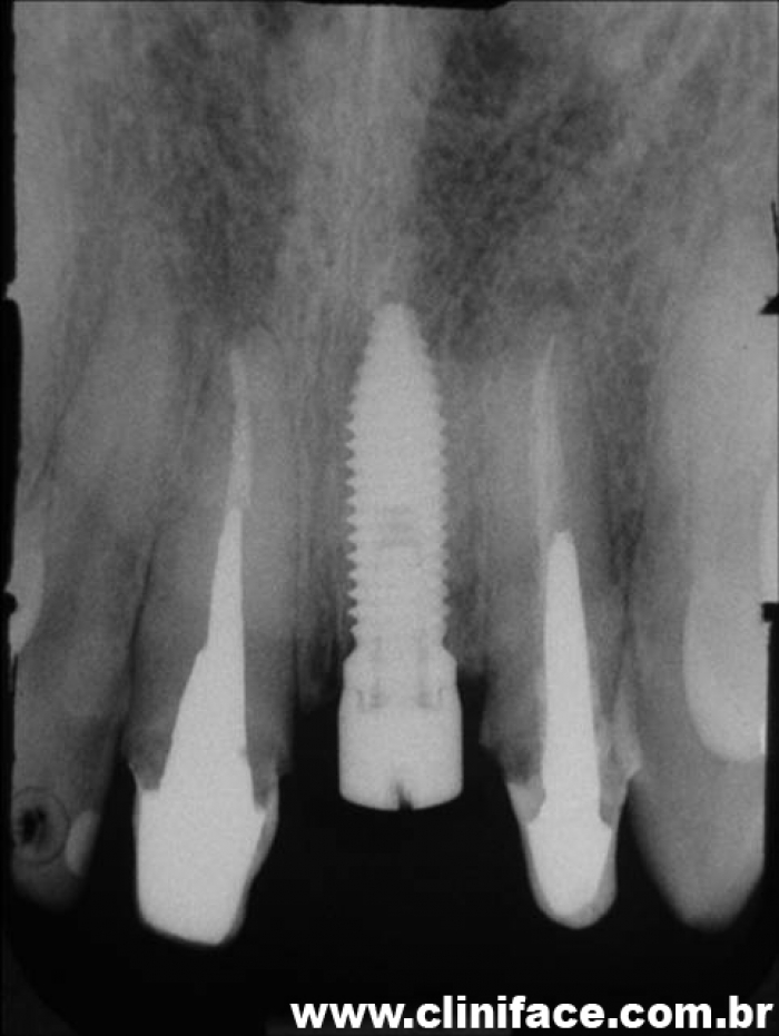
Rx com o implante já instalado
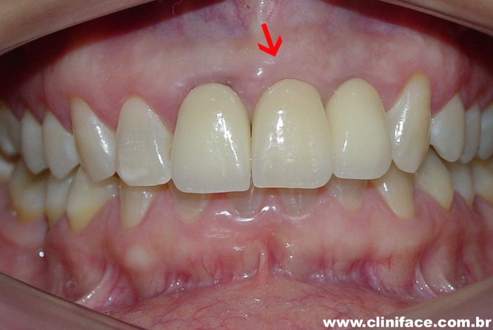
Protese fixa em porcelana no elemento 21
Sorriso final do caso terminado em agosto de 2009
Raio X final
Praça da Bíblia, 3336 | Edf. Cemed - Sala 601 | Umuarama - Pr | 44 3622-6161