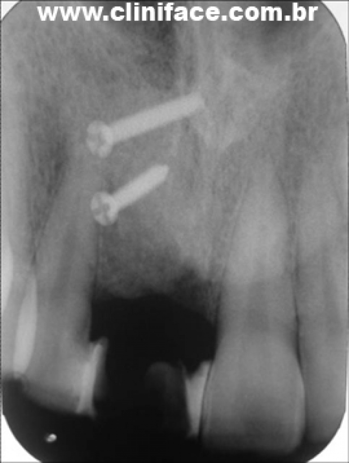
Raio X após o enxerto ósseo
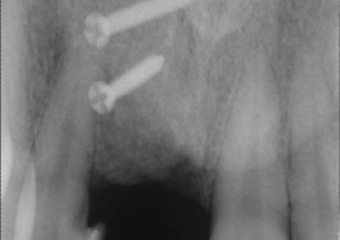
Raio X com prótese de porcelana sobre o implante
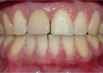
Prótese fixa de porcelana sobre o implante
Imagem do caso terminado em fevereiro de 2008
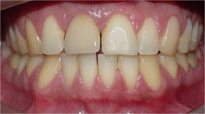
Raio X de controle realizado dia 01/04/2013
Imagens de 05 anos de controle, realizadas dia 01/04/2013