Agende um horário
Clique nas imagens para ampliar
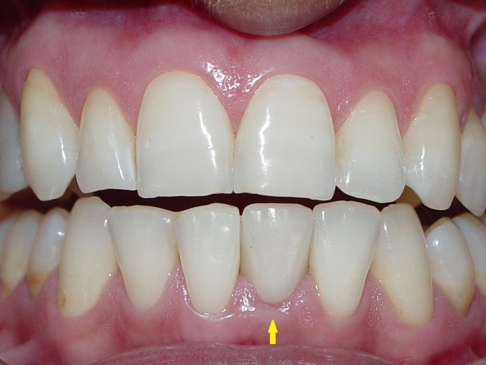
Imagens do elemento 31, apresentando extensa reabsorção radicular externa
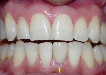
Imagens finais do caso terminado em fevereiro de 2010, com prótese em porcelana sobre implante
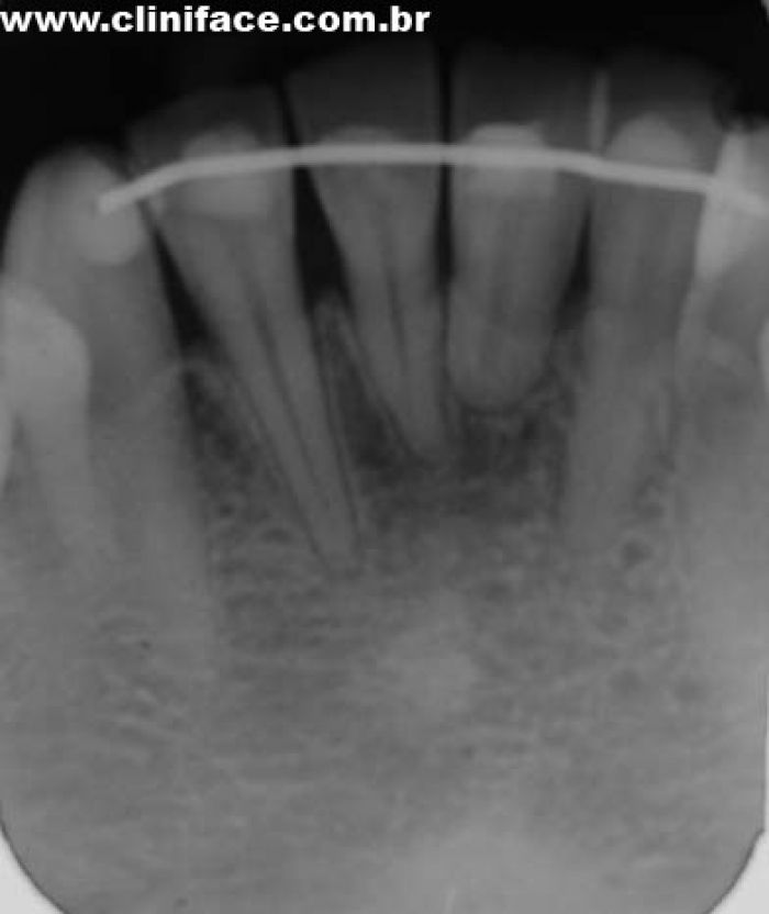
Rx inicial
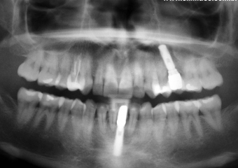
Rx final
Praça da Bíblia, 3336 | Edf. Cemed - Sala 601 | Umuarama - Pr | 44 3622-6161