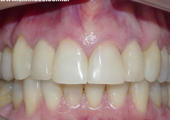
Imagem inicial e final de caso de agenesia dental, reabilitado com implante unitário no elemento 12
Raio X mostrando agenesia do elemento 12, reabilitado com implante e prótese fixa em porcelana
Prótese fixa sobre implante, finalizado em janeiro de 2010