Imagem inicial com prótese convencional
Imagem após removida a prótese fixa de 03 elementos
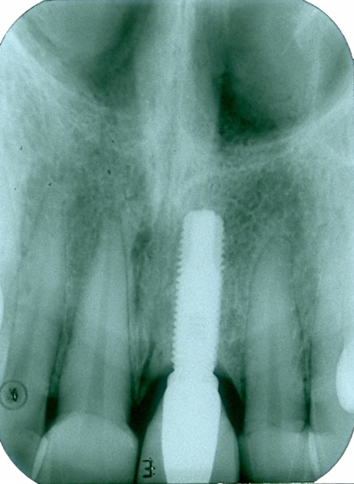
Raio X inicial
Raio X após a prótese instalada sobre implante
Prótese unitária de porcelana sobre implante
Sorriso final do caso terminado em fevereiro de 2010
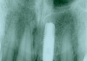
Raio X de 15 meses de controle
Raio X de 03 anos e 08 meses de controle