Agende um horário
Clique nas imagens para ampliar
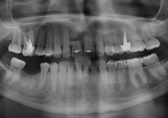
Raio X inicial
Raio X do implante instalado, com cicatrizador
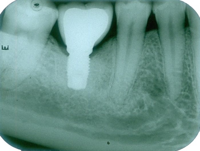
Raio X final após a prótese de porcelana instalada
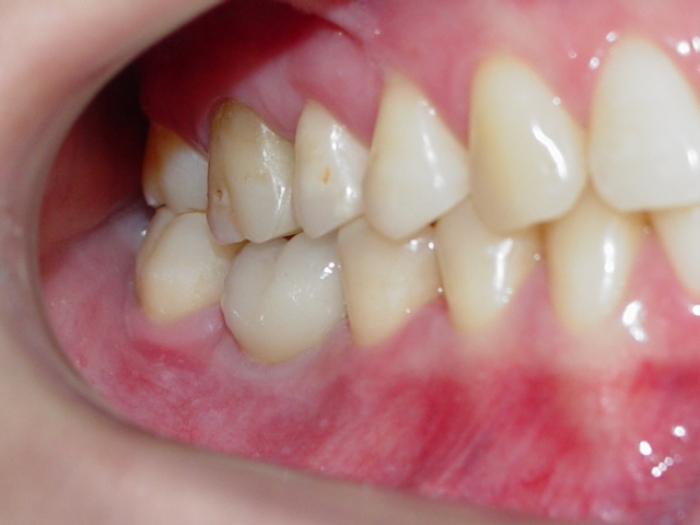
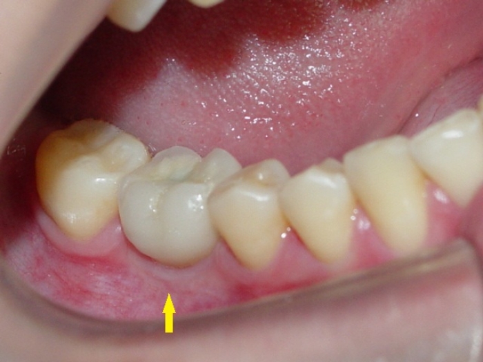
Imagens da prótese unitária sobre implante, do caso finalizado em janeiro de 2011
Praça da Bíblia, 3336 | Edf. Cemed - Sala 601 | Umuarama - Pr | 44 3622-6161