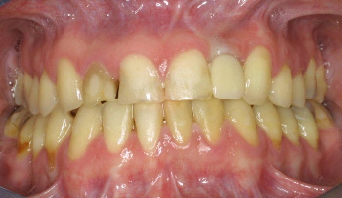
Sorriso inicial
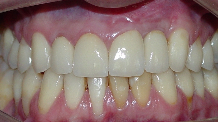
Sorriso final
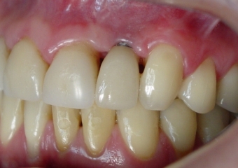
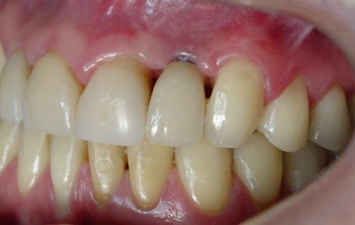
Porção intermediária do implante exposta
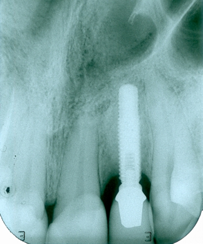
Raio X da primeira prótese fixa
Raio X após troca da prótese fixa de porcelana
Imagem inicial com ausencia do incisivo lateral esquerdo
Imagem final após enxerto de gengiva, troca da prótese fixa sobre o implante e tratamento reabilitador