Agende um horário
Clique nas imagens para ampliar
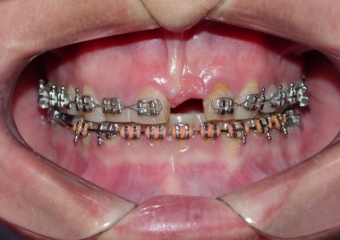
Imagens iniciais observando a ausência do incisivo central superior esquerdo
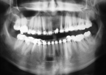
Raio X inicial
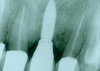
Raio X do implante e prótese fixa em porcelana
Prótese fixa de porcelana sobre o implante
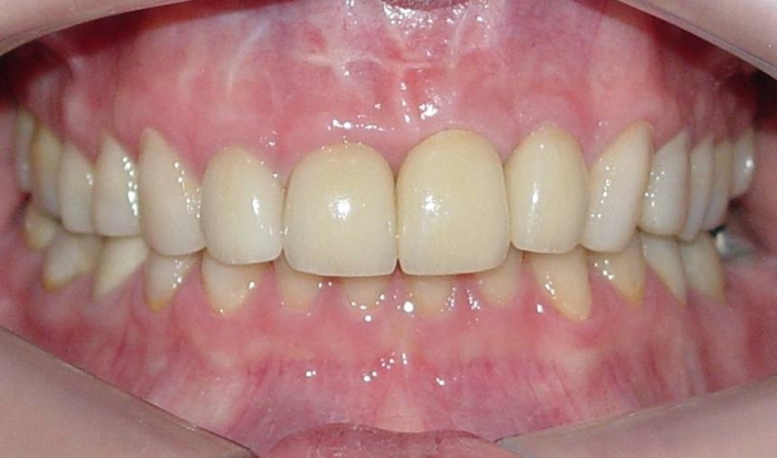
Sorriso final do caso terminado em Dezembro de 2011
Praça da Bíblia, 3336 | Edf. Cemed - Sala 601 | Umuarama - Pr | 44 3622-6161