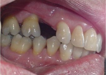
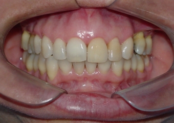
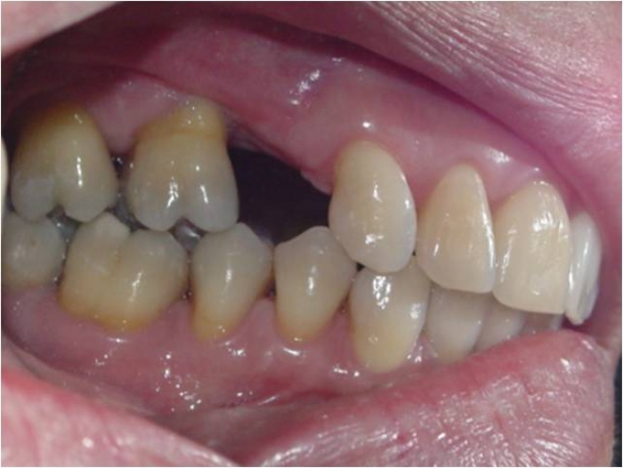
Imagens iniciais, observando a ausência do pré molar superior
Raio X inicial, obsevando ausência de um pré molar superior à esquerda
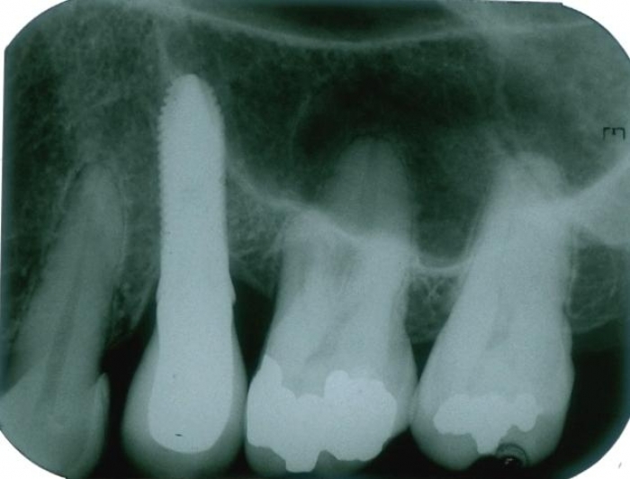
Raio X com prótese fixa em porcelana instalada sobre o implante
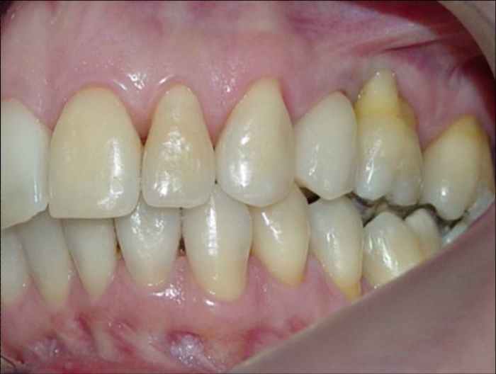
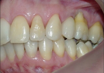
Imagem final da prótese fixa em porcelana sobre implante, caso finalizado em Dezembro de 2011
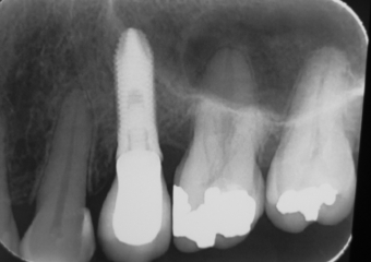
Raio X de 9 meses de controle