Agende um horário
Clique nas imagens para ampliar
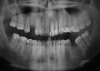
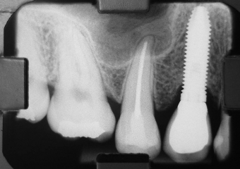
Raio X Inicial
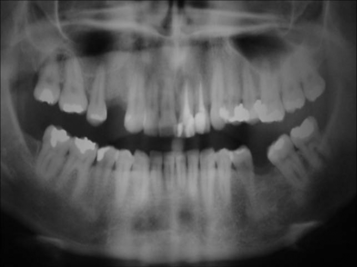
Rx e imagem da prótese fixa em porcelana sobre implante
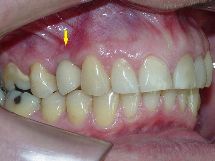
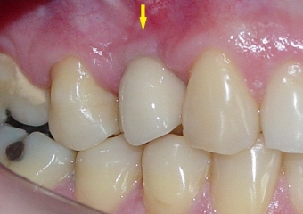
Prótese fixa em porcelana
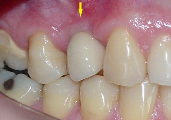
Imagem aproximada da prótese fixa em porcena instalada
Praça da Bíblia, 3336 | Edf. Cemed - Sala 601 | Umuarama - Pr | 44 3622-6161