Agende um horário
Clique nas imagens para ampliar
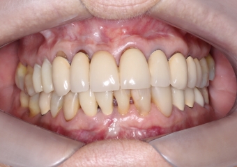
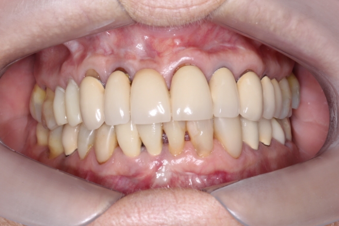
Foto intra oral frontal inicial
Foto extra oral frontal inicial
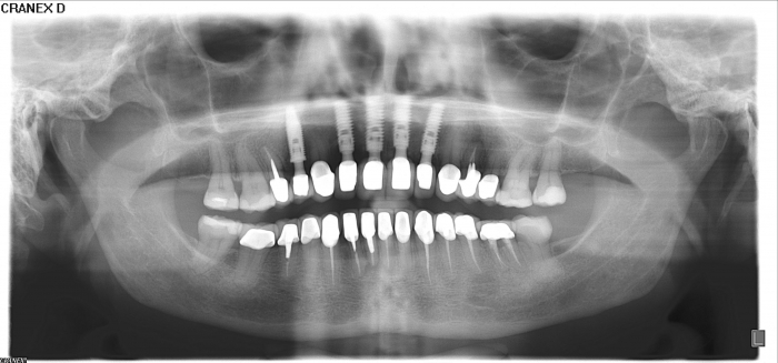
Rx Panorâmico inicial
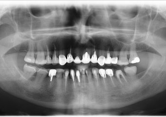
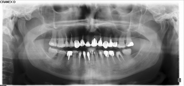
Rx Panorâmico final 2019
Foto intra oral final 2019
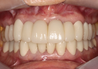
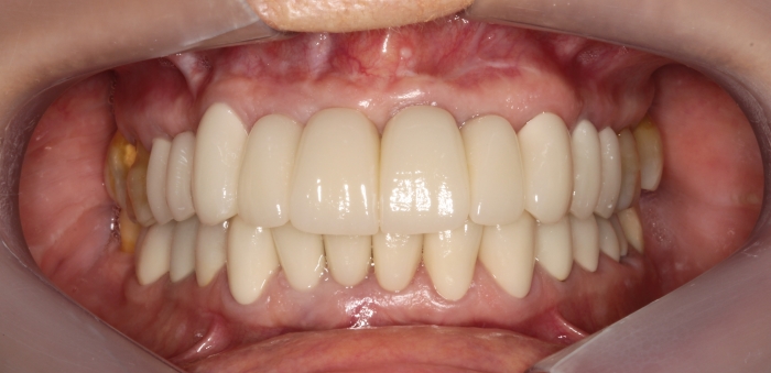
Foto intra oral frontal final 2019
Praça da Bíblia, 3336 | Edf. Cemed - Sala 601 | Umuarama - Pr | 44 3622-6161