Imagem inicial
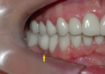
Raio X inicial apresentando ausência do molar inferior direito
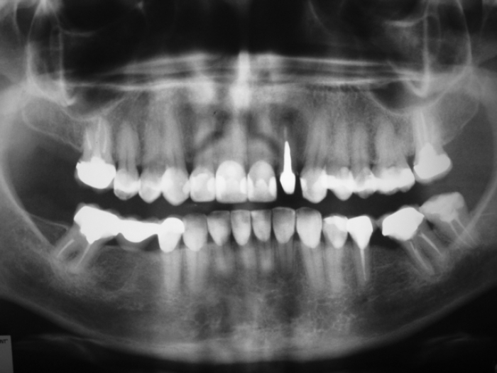
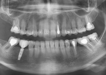
Raio X do implante
Raio X com prótese fixa em porcelana sobre implante Cone Morse
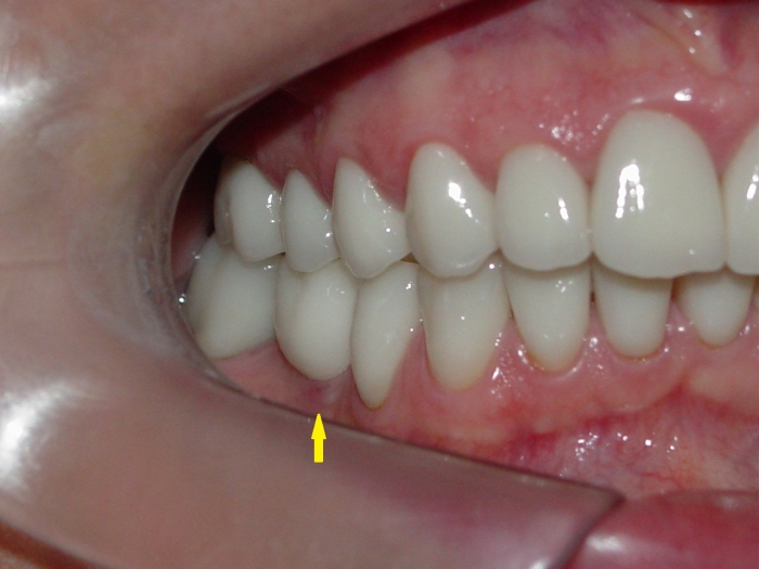
Imagens com facetas e prótese fixa em porcelana sobre implante
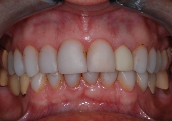
Sorriso inicial
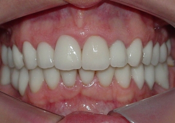
Sorriso final