Agende um horário
Clique nas imagens para ampliar
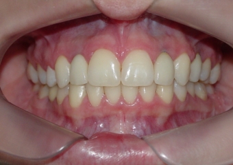
Imagem inicial
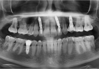
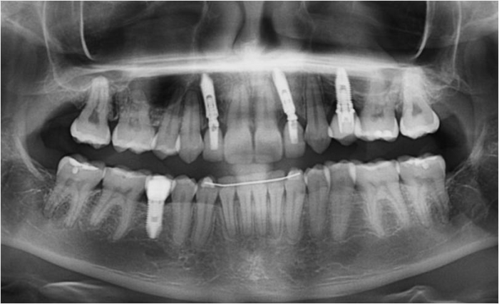
Raio X inicial
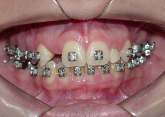
Imagem após extrações de dentes decíduos e instalação de um implante
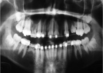
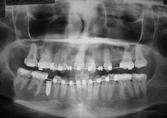
Raio X final com próteses em porcelana sobre implantes
Próteses de porcelana sobre implantes
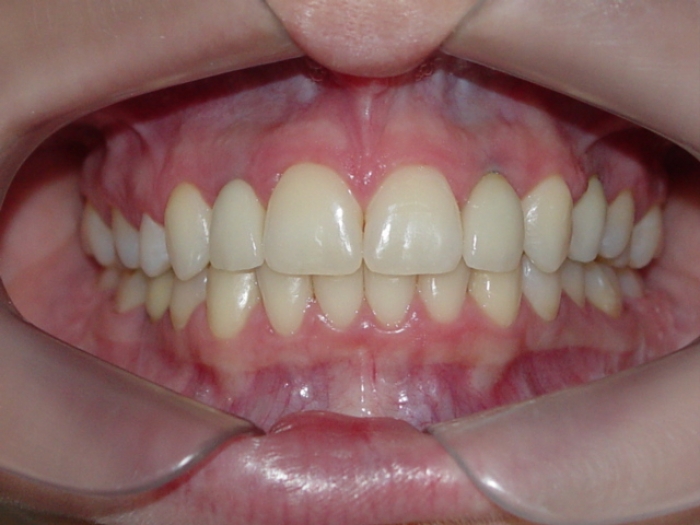
Sorriso final do caso terminado em maio de 2012
Praça da Bíblia, 3336 | Edf. Cemed - Sala 601 | Umuarama - Pr | 44 3622-6161