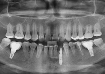
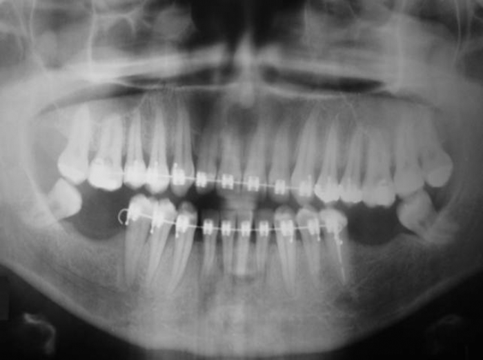
Raio X inicial
Raio X com próteses fixas em porcelana e encaminhada para extração de incisivo com reabsorção radicular
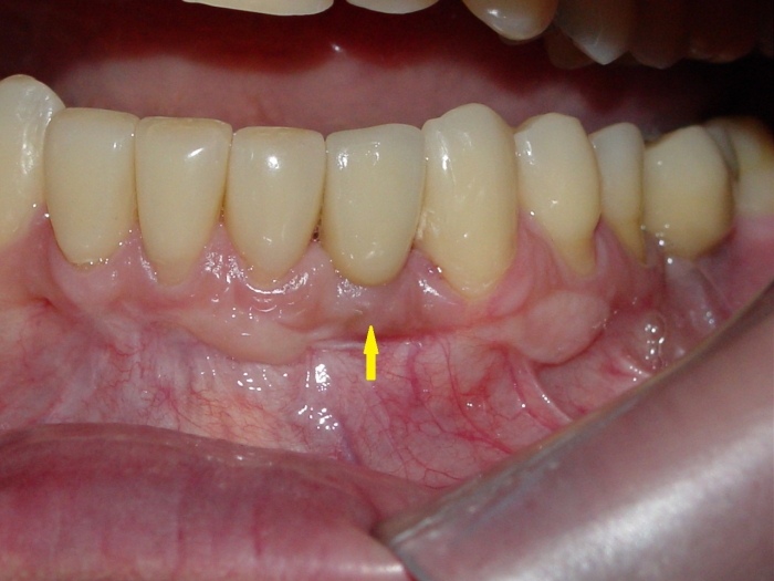
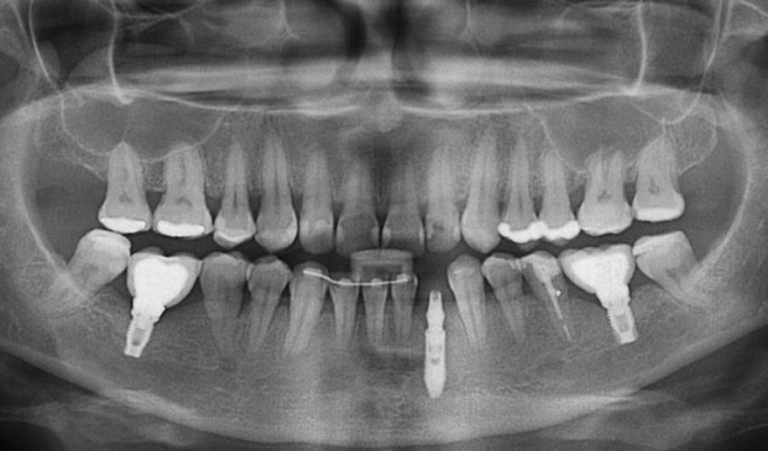
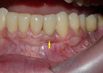
Imagem após extração do dente 32, devido a reabsorção radicular
Raio X com próvisório já instalado sobre o implante cone morse
Imagem do caso finalizado em maio de 2012
Raio X de controle, realizado 05 meses após o término do tratamento