CASOS CLÍNICOS - Implantes Cone Morse - Reabilitação Unitária com Implantes


Caso 07

Clique nas imagens para ampliar

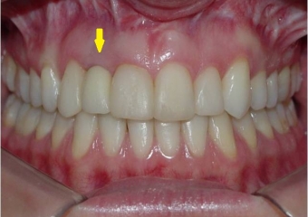
Sorriso inicial - Clínica Cliniface

Sorriso inicial

Sorriso após cirurgia ortognática - Clínica Cliniface

Sorriso após cirurgia ortognática

Perfil inicial - Clínica Cliniface

Perfil inicial

Perfil após cirurgia ortognática - Clínica Cliniface

Perfil após cirurgia ortognática

Imagem inicial - Clínica Cliniface

Imagem inicial

 Imagem após cirurgia ortognática - Clínica Cliniface

Imagem após cirurgia ortognática

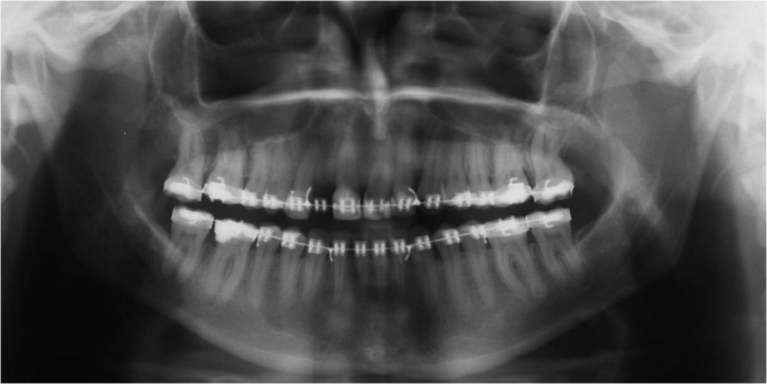
Raio X inicial - Clínica Cliniface

Raio X inicial

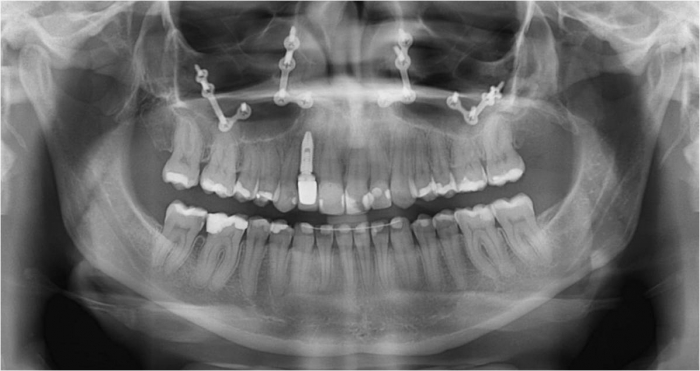
Raio X após cirurgia ortognática de avanço de maxila - Clínica Cliniface

Raio X após cirurgia ortognática de avanço de maxila

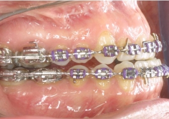
Imagem inicial - Clínica Cliniface

Imagem inicial

Imagem após cirurgia ortognática - Clínica Cliniface

Imagem após cirurgia ortognática

Imagem inicial - Clínica Cliniface

Imagem inicial

Imagem após cirurgia ortognática - Clínica Cliniface

Imagem após cirurgia ortognática

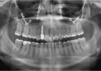
Raio X do implante cone Morse e prótese fixa em porcelana - Clínica Cliniface

Raio X do implante cone Morse e prótese fixa em porcelana

Imagem do caso após remoção do aparelho e instalação de prótese sobre implante em porcelana - Clínica Cliniface

Imagem do caso após remoção do aparelho e instalação de prótese sobre implante em porcelana



Praça da Bíblia, 3336 | Edf. Cemed - Sala 601 | Umuarama - Pr | 44 3622-6161