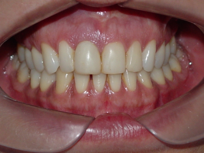
Imagem inicial de paciente com fratura de raiz no dente 11
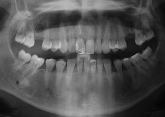
Raio X inicial
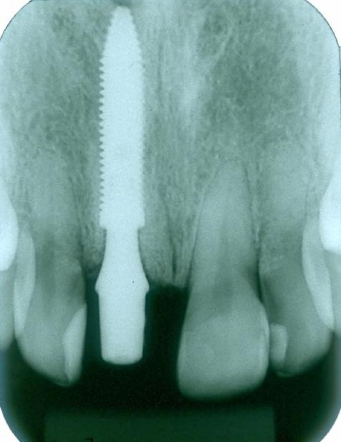
Implante instalado imediatamente após extração
Raio X da prótese provisória
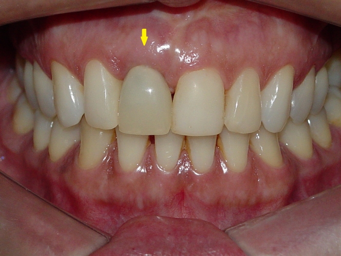
Prótese provisória fixa sobre implante cone Morse
Sorriso inicial
Sorriso após prótese provisória instalada