Agende um horário
Clique nas imagens para ampliar
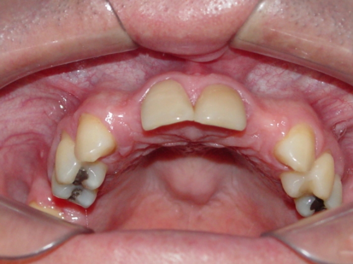
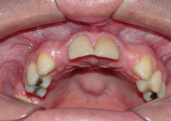
Imagens iniciais
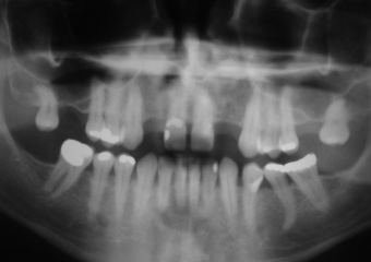
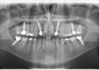
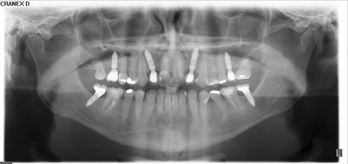
Raio X inicial
Raio X dos implantes e enxerto ósseo superior posterior
Próteses em porcelana
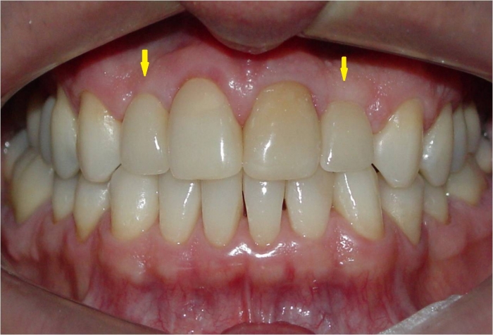
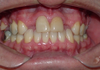
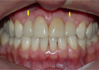
Sorriso inicial
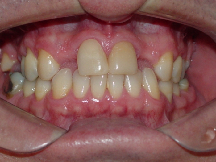
Sorriso final, do caso terminado em julho de 2012
Raio X final
Praça da Bíblia, 3336 | Edf. Cemed - Sala 601 | Umuarama - Pr | 44 3622-6161