Agende um horário
Clique nas imagens para ampliar
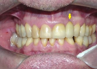
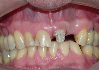
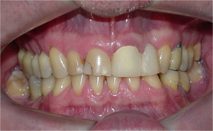
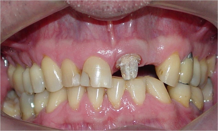
Imagens iniciais, mostrando ausência do elemento 22
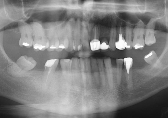
Raio X inicial
Raio X das próteses fixas em porcelana
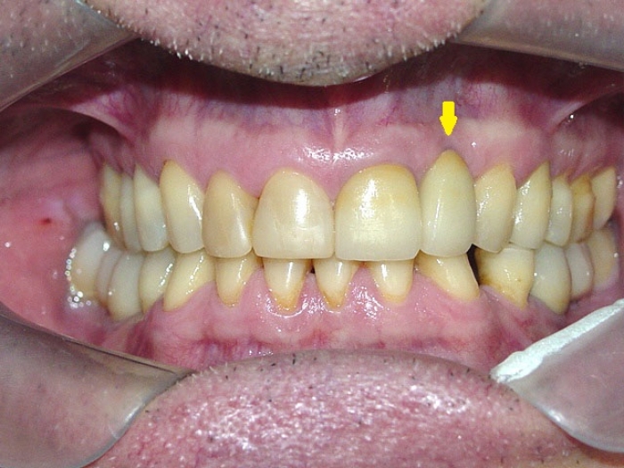
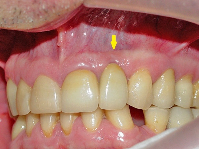
Prótese fixa em porcelana sobre implante Cone Morse
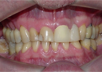
Imagem inicial
Imagem final, do caso terminado em fevereiro de 2013
Praça da Bíblia, 3336 | Edf. Cemed - Sala 601 | Umuarama - Pr | 44 3622-6161