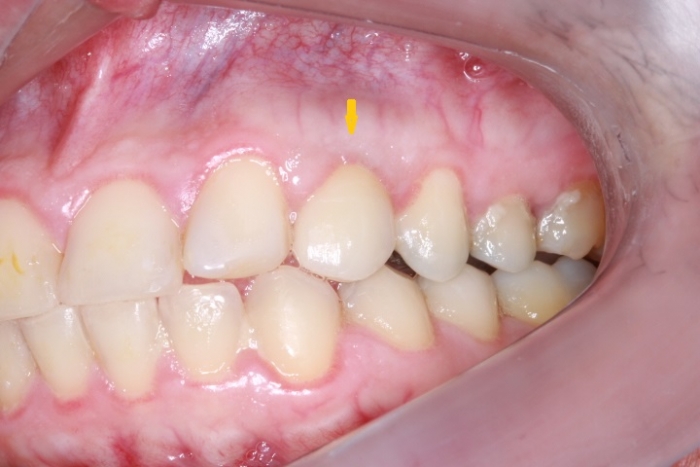
Imagem inicial com presença de canino decíduo
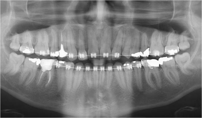
Raio X com raiz do dente 22 distalizada
Raio X após mesialização da raiz do dente 22
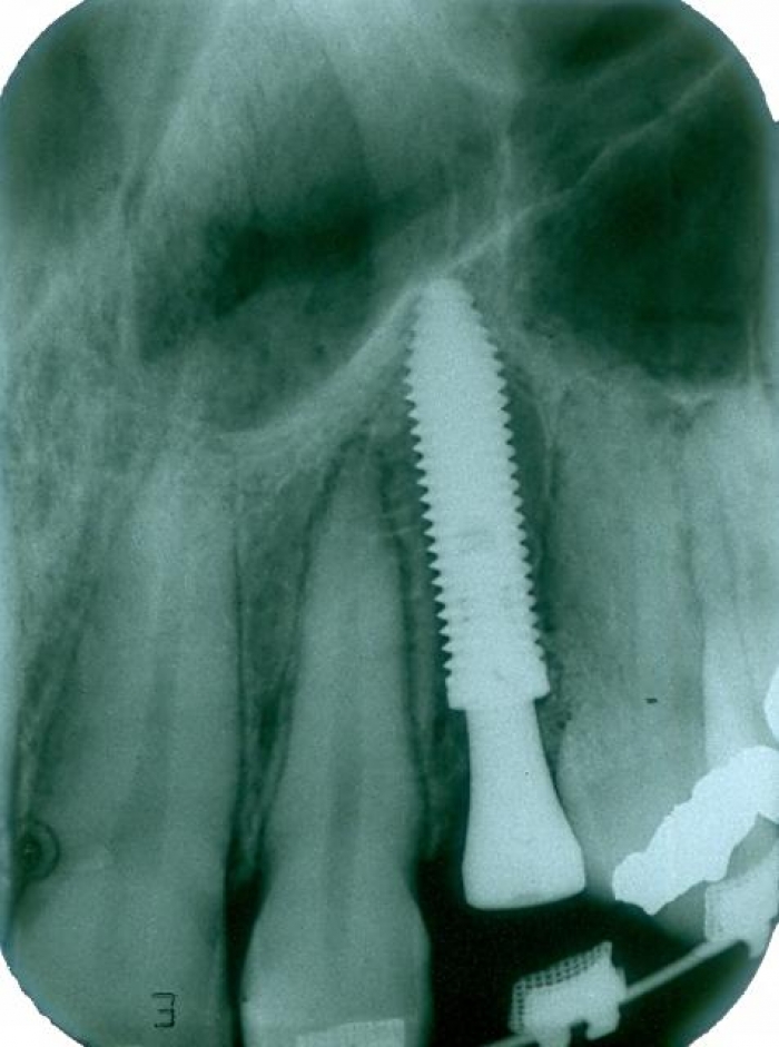
Raio X após a extração e implante imediato
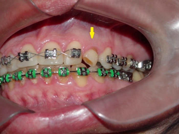
Prótese provisória sobre implante
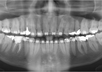
Raio X final
Prótese fixa em porcelana sobre implante
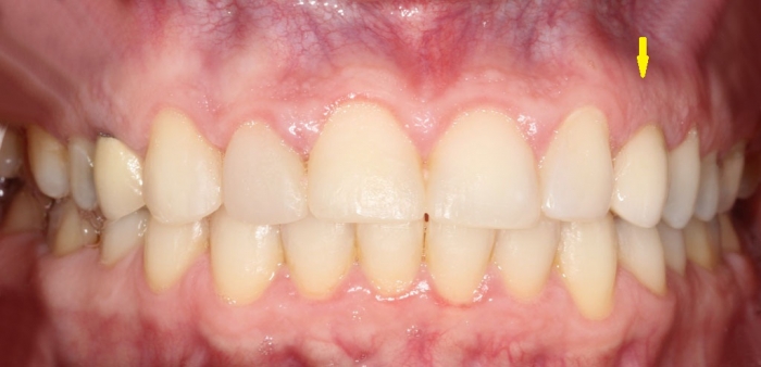
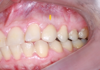
Sorriso final do caso terminado em janeiro de 2013
Janeiro de 2016, Controle de 3 anos
Janeiro de 2016, Controle de 3 anos