Agende um horário
Clique nas imagens para ampliar
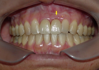
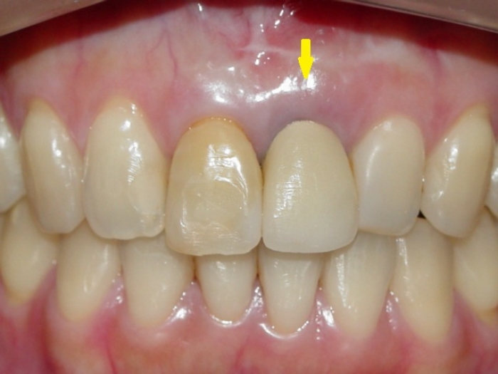
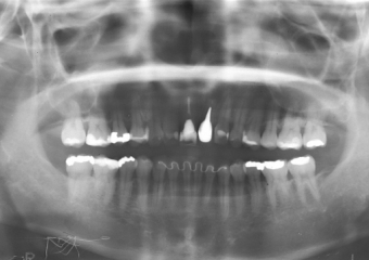
Imagens iniciais com elemento 21 comprometido
Raio X inicial
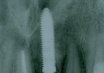
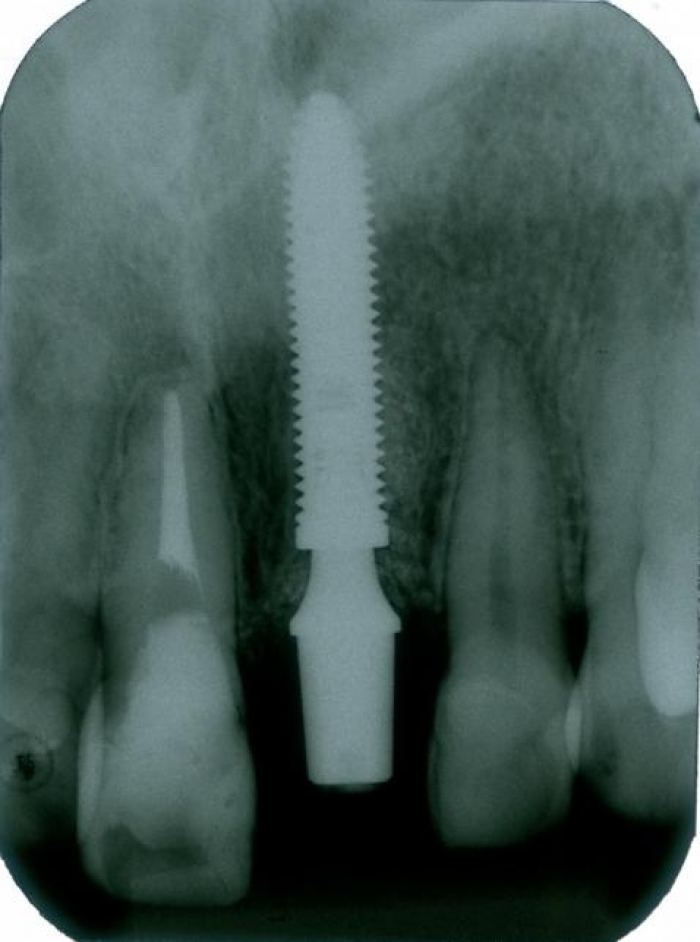
Raio X com implante e prótese provisória fixa
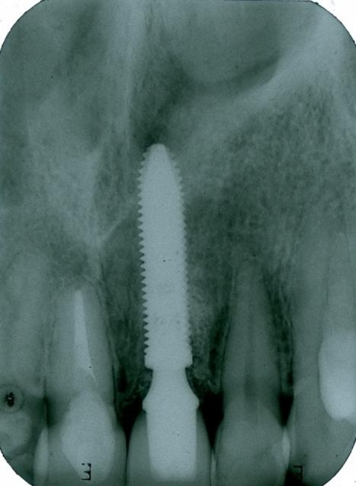
Raio X com dente de porcelana instalado
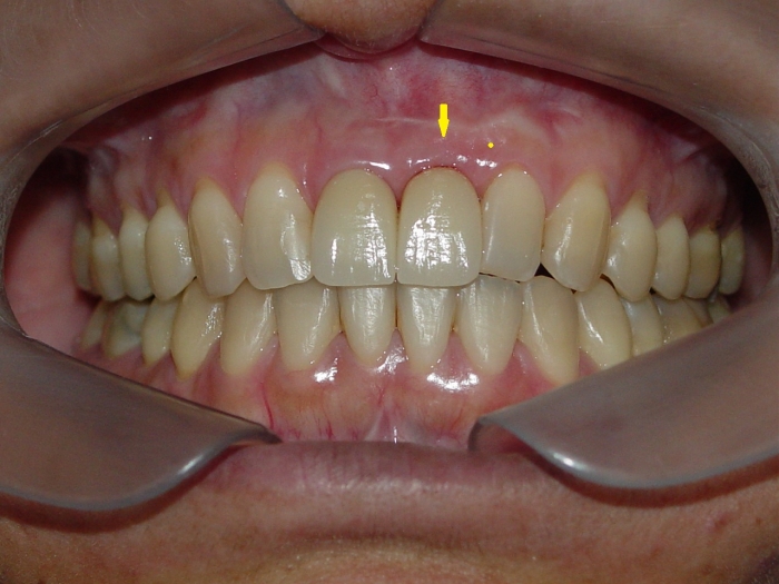
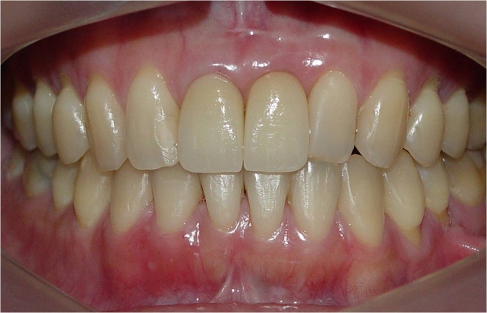
Imagem final do caso terminado em janeiro de 2013
Sorriso
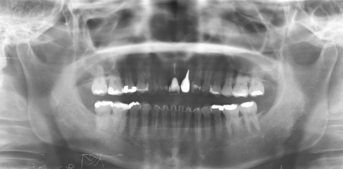
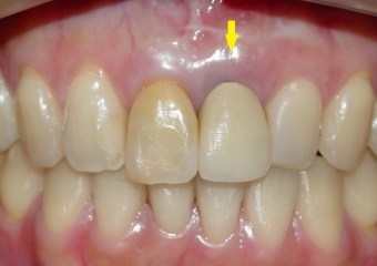
Imagem de 3 meses de controle
Praça da Bíblia, 3336 | Edf. Cemed - Sala 601 | Umuarama - Pr | 44 3622-6161