Raio X inicial com fratura radicular do dente 24
Raio X após a extração
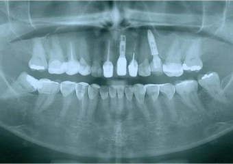
Raio X com implante instalado
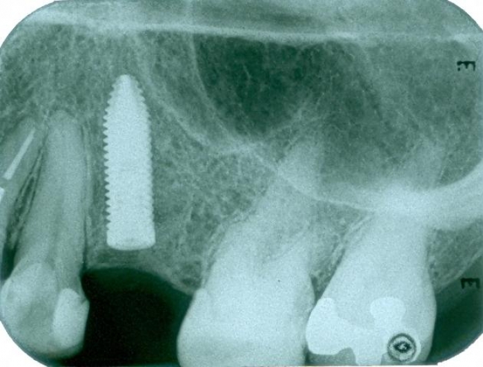
Raio X final
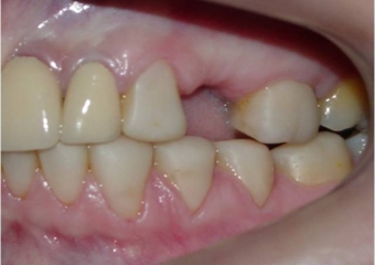
Imagem após extração do dente comprometido
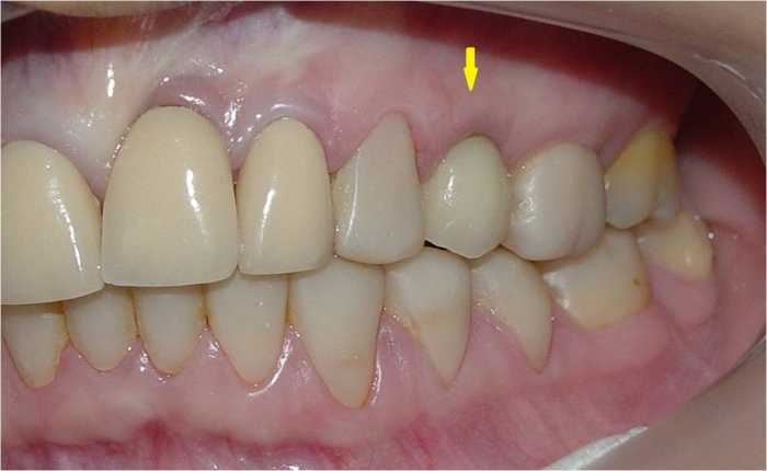
Dente de porcelana fixo sobre implante
Sorriso final, do caso terminado em fevereiro de 2013