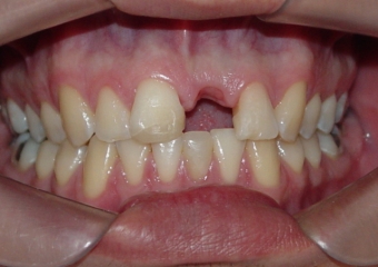
Paciente com ausência do dente 21, por trauma em partida de futebol
Sem a prótese removível
Raio X inicial
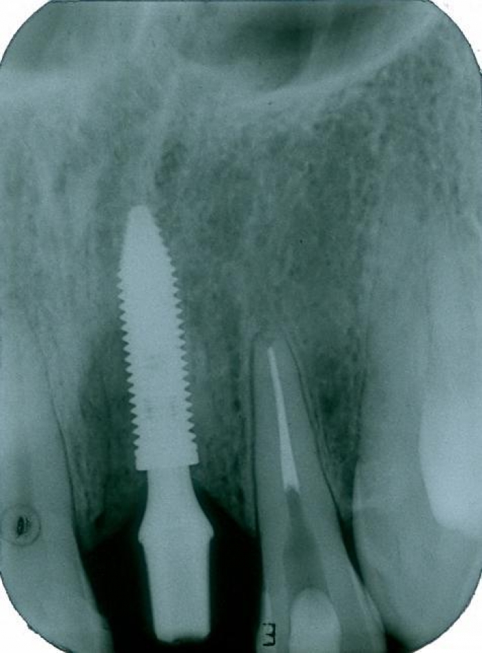
Raio X do implante instalado
Raio X com prótese provisória fixa instalada
Raio X com dente de porcelana instalado
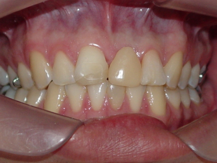
Imagem final do caso terminado em Agosto de 2013
Sorriso final