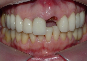
Sorriso inicial
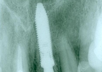
Raio X após instalação de um implante inferior
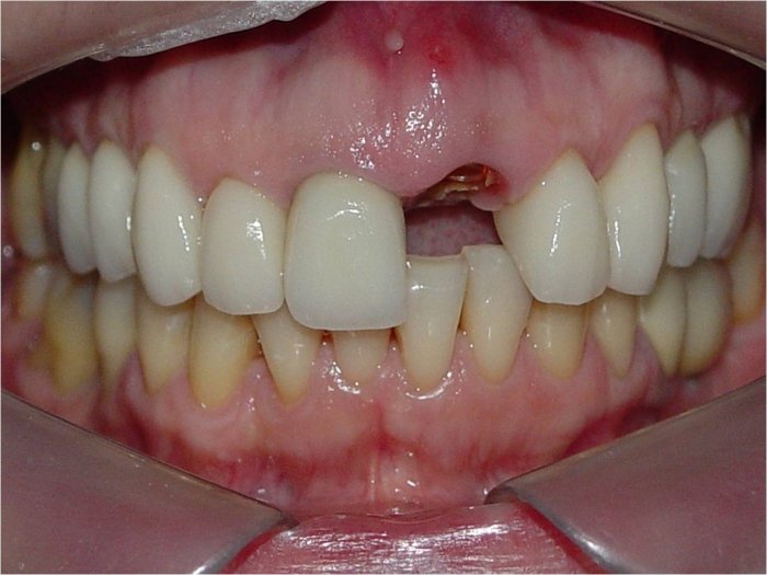
Imagem do dente 21 fraturado
Imagem após extração e instalação de implante e prótese fixa provisória imediata
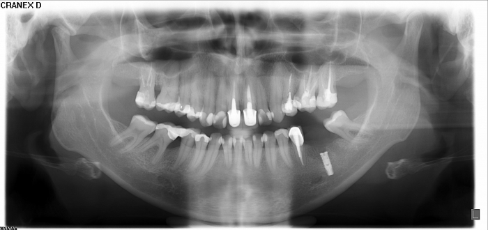
Raio X com prótese provisória fixa sobre o implante
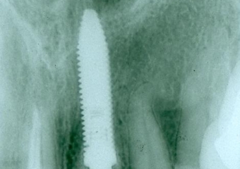
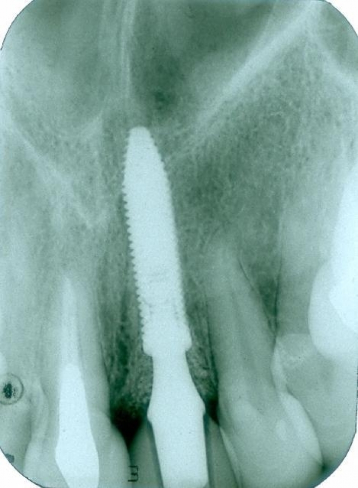
Raio X final com prótese definitiva em porcelana instalada
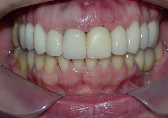
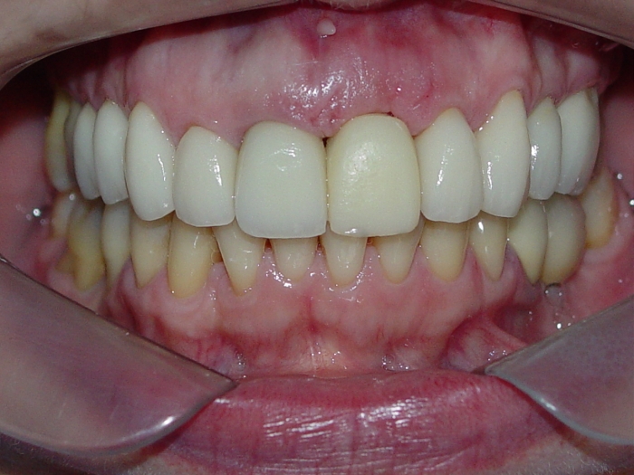
Imagem final, do caso terminado em Maio de 2013
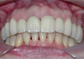
Sorriso final